Можно ли прививаться от энцефалита, если в детстве болел им?

Прививка от клещевого энцефалита Всем известно, что существует ряд обязательных прививок, описанных в национальном календаре. Но существует ещё один перечень прививок, которые делают либо по эпидемическим показаниям, либо…

Совет медика

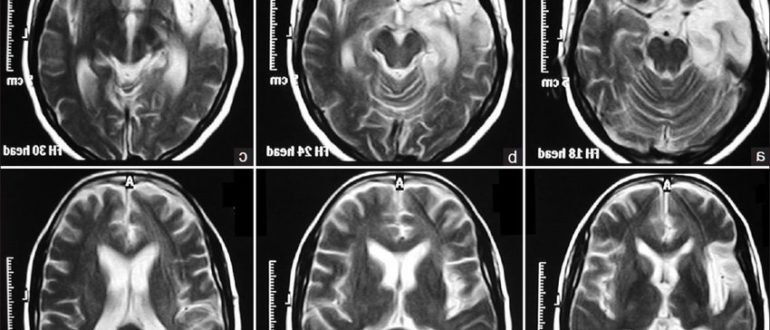
Дисциркуляторная энцефалопатия на МРТ головного мозга

Проведение МРТ при дисциркуляторной энцефалопатии мозга Дисциркуляторная энцефалопатия головного мозга — прогрессирующее заболевание хронического характера, которое вызвано повреждением сосудов и нарушением мозгового кровообращения. Мозг отвечает за правильное функционирование…

Совет медика

Можно ли прививаться от энцефалита, если в детстве болел им?

Клещевой энцефалит: что делать, если забыта дата прививки? Весной просыпается не только флора, но и фауна, в частности – клещи. Медики пугают последствиями от укусов, а забывчивый обыватель…

Совет медика

Диспорт при дцп

Диспорт при ДЦП: применения лекарства для детей Детский церебральный паралич – собирательное понятие, включающее в себя группу неврологический расстройств, появляющихся в детском возрасте под влиянием негативных факторов, повлиявших…

Совет медика

Можно ли рожать самой с межпозвоночной грыжей в пояснице?

Беременность и межпозвоночная грыжа Период беременности часто становится причиной развития или усугубления проблем со здоровьем позвоночника. Не вылеченная до наступления беременности грыжа или возникшая уже в период вынашивания…

Совет медика

Доброкачественное позиционное головокружение

Доброкачественное пароксизмальное позиционное головокружение Рассказывает Екатерина Довлатова, оториноларинголог, отоневролог-вестибулолог, к.м.н. Головокружение — одна из самых частых жалоб среди пациентов любого возраста. При этом оно может быть проявлением разных…

Совет медика

Дневная температура

Субфебрильная температура Субфебрильная температура — это температура на уровне 37-37,5°C в течение длительного времени. У человека при этом могут полностью отсутствовать симптомы любого заболевания, а может проявляться недомогание….

Совет медика

Можно ли совмещать катадолон с другими НПВП?

Ошибки при обезболивании  Зачастую, в больницах онкопациентам прописывают «трамадол», причем ограниченной дозировкой.  При желании, можно выпросить дополнительно «реланиум» либо же «сибазон». На этом помощь заканчивается и все больные…

Совет медика

Возможно ли в 15 лет получить инсульт

«Такая молодая – и уже инсульт!»: врачи-неврологи о причинах сосудистых катастроф в молодом возрасте — Мы работаем с 2010 года — тогда в городской больнице открылся первичный сосудистый центр. И несмотря на то…

Совет медика

Можно-ли совмещать два разных лечения

Сочетание массажа с другими процедурами   Массаж — самостоятельный немедикаментозный метод лечения, способный облегчить состояние и даже решить проблему со здоровьем. Но в сочетании с другими физиопроцедурами пациенты…

Совет медика