10 мифов о боксе, в которые пора перестать верить Информацию о боксе большинство обывателей получает из старых советских анекдотов про тупых боксеров и подтверждающих их интервью Кличко-старшего. Этот…
Невропатолог
МПЩ
Расширение межполушарной щели: норма и отклонения Многие родители при рождении ребенка сталкиваются с таким понятием, как расширение межполушарной щели. В некоторых случаях подобное явление несет в себе показатели…
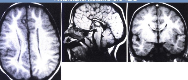
ВПР ЦНС: сужение полости прозрачной перегородки, гипоплазия мозолистого тела
Мозолистое тело головного мозга — агенезия прозрачной перегородки, гипоплазия у ребенка Агенезией мозолистого тела называют врожденную патологию мозга, причиной возникновения которой в большинстве случаев является генетический фактор, развивается…
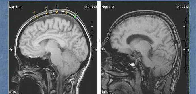
МР картина умеренно выраженной наружной гидроцефалии и точечная боль справа
Умеренно-выраженная наружная гидроцефалия у взрослого: что это такое, признаки Гидроцефалия – обильное скопление жидкости в головном мозге. При данном заболевании наблюдается интенсивная выработка спинномозгового секрета между смежными желудочками…
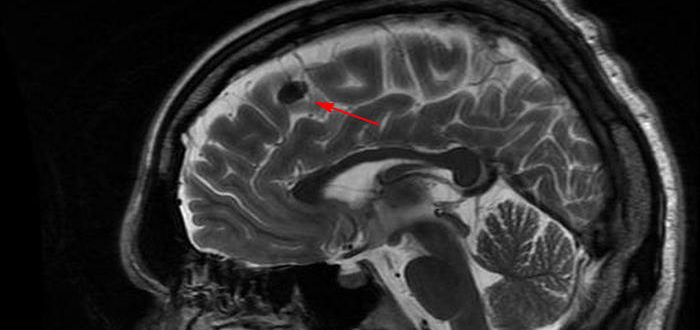
МРТ ГМ. Единичный очаг демиелинизации. Ассиметрия ПА
Очаги демиелинизации на мрт — Все про гипертонию Многие годы безуспешно боретесь с ГИПЕРТОНИЕЙ? Глава Института: «Вы будете поражены, насколько просто можно вылечить гипертонию принимая каждый день… Читать…
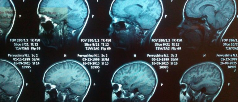
МРТ головного мозга, помогите, пожалуйста
Когда проводится и что показывает МРТ головного мозга Мозг человека – это сложнейший орган, который труден для изучения и проведения диагностики. В то же время это самый главный…
Дозировка фенибут
Фенибут — официальная инструкция по применению, аналоги, цена, наличие в аптеках Круглые плоскоцилиндрические таблетки с фаской и риской, белого или желтоватобелого цвета. Фармакотерапевтическая группа: Другие психостимуляторы и ноотропные…
Мучают головокружение и онемения левой стороны
Немеет голова: причины, диагностика, лечение Многие люди неоднократно замечали онемение головы или одной ее части. При этом человек испытывает чувство покалывания в месте онемения и некоторую потерю чувствительности….
МРТ головного мозга (МР сигнал от аденогипофиза изменен)
Мрт гипоталамуса и гипофиза, что показывает. Симптомы гипоталамо-гипофизарных нарушений МРТ гипофиза с контрастом – это неинвазивная методика исследования функции данного органа. По результатам подобного сканирования специалист получает трехмерную…
МРТ головного мозга (расшифровка)
Расшифровка МРТ головного мозга: результаты и заключение, норма у здорового человека Магнитно-резонансная томография – сложная, но точная диагностика, превосходящая и рентген, и УЗИ, и другие виды обследования. Однако…