» Разное » Можно ли беременным чипсы Чипсы во время беременности наносят вред здоровью будущей мамы и это ни для кого не секрет. Как продукт влияет на еще…
Гинеколог
Вред эскапела
Последствия Эскапела Эскапел содержит левоноргестрел, точный механизм действия которого еще недостаточно изучен. Концентрация его в каждой таблетке составляет 1500 мкг, а в регулярных противозачаточных пилюлях всего 30 мкг….
Врастание плаценты
Приращение плаценты: протоколы ведения родов при данной патологии, степень риска для роженицы При слишком глубоком проникновении сосудов «детского места» в стенку матки развивается серьезное осложнение беременности – приращение…
Мутации фолатного цикла при беременности
Мутации генов гемостаза MTHFR – что это значит и что с этим делать Мутация гена MTHFR является проблемой, связанной с плохим метилированием и продукцией ферментов. Мутации генов гемостаза MTHFR…
Дрожит живот
Почему возникает внутренняя дрожь в теле и что с этим делать 19.06.2019 1 Возможные причины 2 Что делать Доброго времени суток, уважаемые читатели. В сегодняшней статье мы рассмотрим…
Дрожжи в мазке
Вагинальный дрожжевой грибок у женщин: причины возникновения, диагностика, способы лечения Воспалительные заболевания органов малого таза (ВЗОМТ) Такая диагностика дешевле обходится, занимает меньше времени. Она позволяет точно определить…
Мучаюсь частым мочеиспусканием
Частые позывы к мочеиспусканию у мужчин. В чем причины учащенного мочеиспускания? Частое мочеиспускание у мужчин – это нередко встречающийся синдром в повседневной жизни. Большинство мужчин не обращают на…
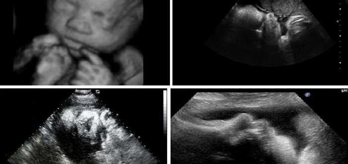
Вредно ли УЗИ на 38 неделе беременности
Как делают УЗИ на 38 неделе беременности: показания, подготовка, расшифровка На сроке 38 недель женщина уже полностью готова к родам. Ее малыш может появиться в любой момент. Некоторые…
Думала что беременная но начались месячные
Месячные на раннем сроке беременности | Мой Гинеколог Нет. Месячные могут идти только у небеременных женщин. У беременных женщин в крови повышается уровень ХГЧ и пролактина, и из-за…
Думаю что беременность, но тест отриц
Одна полоска на тесте на беременность Существует достаточное количество причин, при которых тест на беременность может показать отрицательный результат. Нередко это зависит от наличия патологий организма или неправильного…