Статистика выкидышей по неделям и от чего зависят риски Когда беременность заканчивается без объяснимых причин до 20-24 недели, это известно как выкидыш. Хотя это слово может вызвать беспокойство…
Гинеколог
Duplex uteri
Дисплазия шейки матки ДИСПЛАЗИЯ ШЕЙКИ МАТКИ – ЭТО ПРЕДРАКОВЫЙ ПРОЦЕСС, ХАРАКТЕРИЗУЮЩИЙСЯ НАРУШЕНИЕМ СОЗРЕВАНИЯ МНОГОСЛОЙНОГО ПЛОСКОГО ЭПИТЕЛИЯ В РЕЗУЛЬТАТЕ ДЛИТЕЛЬНОЙ ПЕРСИСТЕНЦИИ ВИРУСА ПАПИЛЛОМЫ ЧЕЛОВЕКА. Синонимы: цервикальная интраэпителиальная неоплазия (CIN), плоскоклеточное интраэпителиальное…
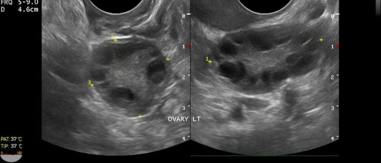
Мультифолликулярные изменения яичников
Основные признаки мультифолликулярных яичников (МФЯ) – информация для пациентов — клиника «Добробут» Мультифолликулярные яичники – состояние, при котором в половых железах созревает 10 и более фолликулов (в норме…
Мультифолликулярные яичники и беременность
Мультифолликулярные яичники и беременность — можно ли забеременеть? Мультифолликулярные яичники и многоплодная беременность Функциональность репродуктивной системы женского организма зависит от здоровья яичников, в которых ежемесячно формируются фолликулы. В…
Мультифолликулярный яичник или поликистоз?
Мультифолликулярные или поликистозные яичники Мультифолликулярными яичниками называют такие яичники, у которых одновременно увеличено несколько фолликулов (12 и более штук). Если в первую фазу цикла у женщины на УЗИ…
Дважды за цикл приняла экстренную контрацепцию
Как часто можно применять таблетки для экстренной контрацепции? В случае сексуального контакта без каких-либо средств защиты для предотвращения незапланированной беременности могут использоваться препараты экстренной контрацепции, которые еще называют…
Всегда ли должно быть кровотечение после постинора?
Кровотечение после постинора: норма и признаки патологии — Интимный вопрос Список побочных эффектов после приема средств экстренной контрацепции достаточно широк: это могут быть и нетипичные выделения, и тошнота,…
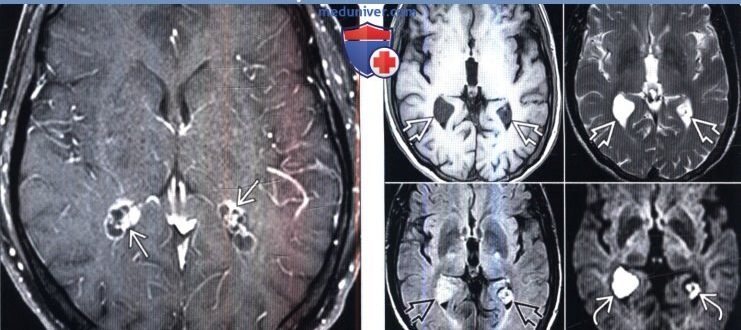
Двусторонние кисты хороидных сплетений боковых желудочков мозга
Кисты сосудистых сплетений головного мозга у плода: причины, последствия Второй плановый ультразвуковой скрининг при беременности направлен на выявление аномалий эмбрионального развития. Кисты сосудистых сплетений головного мозга у плода…
Два половых акта подряд и беременность
Какова вероятность забеременеть при прерванном половом акте: шансы и статистика Врачи при любых обстоятельствах рекомендуют пользоваться средствами контрацепции, которые обезопасят партнеров от болезней и нежелательной беременности. Если партнеры…
Мутные воды на 22 неделе беременности
Мутные околоплодные воды при беременности 20 недель Случается так, что на очередном УЗИ вам говорят о том, что у вас мутные околоплодные воды. Это, несомненно, вызывает целый шквал…