Скрининг ВПЧ: определение, причины назначения, расшифровка анализа, лечение Рак шейки матки получил широкое распространение в наши дни. Если раньше он поражал преимущественно женщин старше 40 лет, сейчас его…
Гинеколог
Врач решил перестраховаться?
Казалось бы, коронавирус не делает различий между простыми людьми и элитой – заболевают и звезды первой величины, и главы государств. Но, допустим, вам, обычному человеку, тpeвoжнo из-за стремительного…
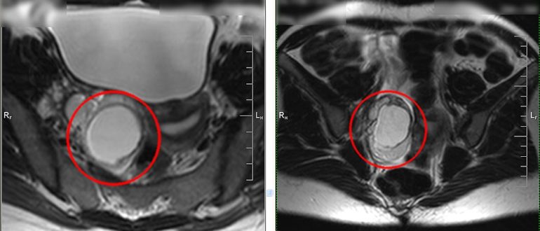
МРТ дермоидной кисты
Дермоидная киста: симптомы и причины, диагностика, лечение и профилактика Дермоидная киста – это полое доброкачественное образование, представляющее собой плотную капсулу, с содержимым из частичек дермы, волос, сальных элементов….
Врач говорит беременна, а тест отрицательный
Симптомы беременности есть, но почему тест отрицательный? Многие женщины испытывают разочарование в связи с отрицательным результатом теста на беременность, когда они стараются зачать ребенка. Иногда даже при наличии…
Мучает боль во время овуляции
Причины болей разной локализации перед, во время и после овуляции Периодически возникающие боли небольшой интенсивности, где бы они ни появлялись – в нижних отделах живота, голове или пояснице…
МРТ малого таза
Мрт малого таза в Балашихе — 5000 руб Основными наиболее эффективными инструментальными методами диагностики заболеваний органов малого таза являются МРТ, КТ и УЗИ. С особенностями данных методов при…
Врач не может определить срок беременности
Как врачи определяют срок беременности и дату родов на осмотре Здравствуйте, мои дорогие читательницы! Сегодня я веду речь о тех первых волнующих минутах, когда женщина убеждается в том,…
Врач прописал для вызова месячных уколы прогестерона 2,5 % по 2 мл
Зачем, кому и когда назначают уколы прогестерона для вызова месячных? Нарушение сроков менструации хоть раз в жизни бывает у каждой женщины. Ведь цикл может измениться по многим причинам….
Думала месячные
Всё о месячных: 25 ответов на глупые и стыдные вопросы Да. Чаще всего окно фертильности (так называют период, когда зачатие наиболее вероятно) приходится на 10–14-й дни цикла. Но…
Врач ставит поликистоз
Поликистоз яичников Синдром поликистозных яичников (СПКЯ) распространенное заболевание, влияющее на работу женских половых желез. СПКЯ встречается у миллионов женщин. Заболевание характеризуется тремя главными признаками: кистами в яичниках; нерегулярными овуляциями (выход яйцеклетки…