Мрт малого таза в Балашихе — 5000 руб

Основными наиболее эффективными инструментальными методами диагностики заболеваний органов малого таза являются МРТ, КТ и УЗИ. С особенностями данных методов при исследовании малого таза вы можете ознакомиться в этой статье.
Исследование малого таза, органов и тканей с помощью магнитно-резонансной томографии является наиболее безопасным и информативным. Оно не имеет ограничений по частоте проведения и количеству.
Позволяет получить полную визуализацию всех тканей и органов малого таза, диагностировать различные варианты развития и нарушения функций органов малого таза. Подробнее о различии между КТ, МРТ, УЗИ и Рентгеном вы можете узнать — в этой статье.
Что же такое малый таз, какие органы и ткани входят в его состав, какими структурами он образован
Таз — это анатомическая область, образованная тазовыми костями, крестцово-подвздошным сочленением. Нижнее отверстие таза закрыто связками, ветвями костей, мышцами, фасциями, половыми органами, образующими тазовое дно. Участок тазового дна, включающий половые органы, мочеиспускательный канал, прямую кишку еще называют промежностью.
В состав женского таза входят: поверхностные и глубокие мышцы тазового дна, фасции, связки, сосуды, половые органы (влагалище, матка, яичники, маточные трубы), мочевой пузырь, прямая кишка, мочевыводящий канал, лимфатические узлы и соединительная ткань.
В состав мужского таза входят: поверхностные и глубокие мышцы тазового дна, фасции, связки, сосуды, мужские половые органы (предстательная железа, семенные пузырьки, бульбоуретральные (Куперовы) железы, семявыносящий проток), мочевой пузырь, мочевыводящий канал, лимфатические узлы и соединительная ткань.
Как и когда следует делать магнитно-резонансную томографию органов малого таза:
— По направлению врача (в большинстве случаев на мрт органов малого таза направляют такие специалисты, как уролог, гинеколог, онколог, проктолог, травматолог)
— Обследование по инициативе пациента (как правило, человек чувствует начало того или иного заболевания. Очень важно внимательно относиться к сигналам своего организма)
— Профилактические обследования
— Когда присутствует отягощенная (например онкологическая) наследственность
— При болях в малом тазу и промежности
— При нарушении функций органов малого таза или промежности
— При травмах костей таза, органов малого таза или промежности
Как проходит МРТ
Для прохождения томографии малого таза пациент должен прибыть заблаговременно (за 10-15 минут). Перед исследованием персонал клиники проводит беседу с пациентом.
Цель беседы – выяснить анамнез жизни, анамнез заболевания, информацию о инородных металлических предметах в теле пациента, наличие или отсутствие аллергических реакций (если планируется использование контрастного вещества), есть и на сколько выражено чувство дискомфорта или клаустрофобии у пациента при прохождении МРТ, о наличии беременности на ранних сроках и т.д..
Так же пациенту мы расскажем о том, как проходит исследование малого таза. Далее пациент проходит в раздевалку, где снимает с себя одежду, имеющую металлические элементы (металлические украшения, пряжки, часы, металлическая фурнитура). После этого пациент проходит в комнату сканирования, где под руководством мед.персонала размещается на выдвижном столе томографа.
Рентгенолог укладывает пациента в соответствии с исследуемой областью.
Для создания более комфортных условий перед исследованием органов малого таза пациенту предлагают одеть специальные наушники (они снижают для пациента интенсивность звуков, издаваемых томографом во время исследования, служат средством для ого контакта между пациентом и медицинским персоналом, так же через них во время исследования воспроизводится успокаивающая музыка).
Далее стол с пациентом перемещается внутрь томографа и начинается исследование. Во время исследования МРТ издает звуки различной интенсивности. Продолжительность исследования органов малого таза длится около 45 минут. Для получения качественного результата пациент не должен шевелиться во время исследования. После окончания исследования стол выдвигается из томографа, пациент покидает комнату МРТ. Заключение по вашему исследованию как правило будет готов не позднее чем 1 час. Вы можете посмотреть телевизор, выпить чай, кофе.
Если в организме пациента присутствуют инородные металлические тела.
В случае, если в теле пациента присутствуют инородные металлические предметы, он должен сообщить эту информацию врачу. Если инородное тело является несъёмным медицинским изделием, то у пациента должен быть сертификат на данное изделие.
В сертификате говорится о том, какое это изделие, когда и где было установлено, из какого материала оно сделано. Данный сертификат пациент должен предоставить доктору. Окончательное решение о проведении томографии в этом случае принимает врач.
МРТ малого таза детям мы проводим с 5 лет. Связано это в первую очередь с тем, что совсем маленький ребенок без наркоза не может неподвижно вылежать 40-45 минут.
МРТ беременным мы проводим лишь по медицинским показаниям в второй и третий триместр беременности.
МРТ малого таза при боязни замкнутого пространства.
Если пациент испытывает дискомфорт, беспокойство или умеренно выраженную клаустрофобию, в большинстве случаев это не будет являться причиной, по которой он не сможет пройти исследование в нашем мрт центре.
Мы с удовольствием проведем беседу, расскажем и покажем, как проходит это исследование. Успокоим и настроим на положительный лад. Предложим слабые седативные средства.
Что показывает МРТ малого таза:
Данный метод позволяет врачу послойно осмотреть все органы и ткани, входящие в исследуемую область.
Представьте, что врач слой за слоем (а наш томограф позволяет делать «срезы» толщиной менее 1 мм) перебирает все структуры, фиксирует все отклонения от нормы, дает оценку.
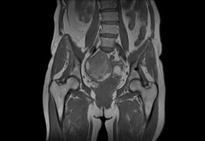
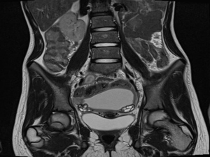
При должной квалификации врача, ни что не останется не замеченным. Для пациента же результат исследования отчасти напоминает рентгеновский снимок и выглядит следующим образом.
Сколько времени занимает описание снимков.
На обработку полученных результатов исследования органов малого таза и написание заключения врачу, обычно, требуется время до одного часа. Сами результаты исследования могут быть записаны на CD диск, термо пленку или флэш карту — ссылка на статью
Какие заболевания можно диагностировать при МРТ малого таза:
Сальпингит, сальпингоофарит, вагинит, бартолинит, валгиноз, параметрит, пельвиоперитонит, внематочная беременность, расширение вен малого таза, опухоли, кисты, метастазы, травмы, дефекты развития, миому матки, рак тела и шейки матки, новообразование яичников, эндометриоз, песок и камни в мочевыводящих путях, а так же опухоли мочевого пузыря, доброкачественная гиперплазия предстательной железы, рак предстательной железы и т.д.
Как следует готовиться к МРТ малого таза у женщин и мужчин.
Готовиться к МР томографии малого таза нужно. Подготовка не является сложной. Для мужчин она заключается в следующем: — за 1-2 дня до проведения исследования из рациона необходимо исключить газообразующие продукты, такие как: хлеб, овощи, фрукты, цельное молоко, газированные напитки и т.д.
— за 6-8 часов до исследования принять 2 таблетки Но-шпа- за 3 часа до исследования необходимо отказаться от пищи, питье не обильное- за 30 минут до исследования принять 1-2 таблетки Но-шпа- так же при прохождении исследования кишечник должен быть опорожнен, а мочевой пузырь умеренно наполнен.
Для женщин исследование органов малого таза рационально проходить с 6 по 11 день цикла.В экстренных случаях возможно проведение МРТ органов малого таза без соответствующей подготовки.
При этом необходимо понимать, что ее информативность будет чуть ниже аналогичного исследования органов малого таза, проведенного с подготовкой.
Что влияет на результат исследования
На качество проводимого исследования могут влиять некоторые, на первый взгляд обычного человека, не связанные с процедурой обстоятельства.
Такие как: небольшое движение пациента во время исследования, наличие металлических элементов на одежде или в теле человека.
Так же может повлиять на качество исследования макияж, татуировки, питание, лекарственные препараты. День менструацльного цикла у женщин.
Дополнительные исследования:
Следует понимать, что по результатам исследования на МРТ пациент получает заключение. Дифференциальную диагностику и окончательный диагноз проводит и ставит лечащий врач. Иногда для этого ему может потребоваться проведение дополнительных лабораторных и инструментальных методов исследования, таких как: осмотр, анализы, МРТ в динамике, Узи, гистероскопия и прочее.
Когда применяется контрастное вещество при томографии органов малого таза:
В качестве контрастного вещества могут применяться различные препараты. Механизм их действия одинаковый. В большинстве случаев к ним прибегают, когда у врача есть подозрение в наличии у пациента онкологии или, когда того требует регламент исследования.
Все дело в том, что действующее вещество контраста избирательно накапливается в здоровых и поврежденных тканях, по-разному ведет себя. Введение контрастного препарата может быть осуществлено с помощью специального медицинского инжектора или обычным шприцом через катетер.
Введение контрастного вещества может сопровождаться покалыванием, пощипыванием в области введения. Кроме того, введение контрастного вещества противопоказано при нарушении функции почек.
Как и любой медицинский препарат, контраст выводится из организма в основном почками и печенью с чем и связана дополнительная нагрузка на эти органы.
Как записаться и пройти МРТ органов малого таза в Балашихе.
Чтобы пройти исследование нужно записаться по телефону или через форму обратной связи указанные на сайте. Любой желающий может пройти исследование в нашем диагностическом центре в день обращения. Для постоянных клиентов мы всегда готовы предложить скидки и акции. Наш диагностический центр находится в Балашихе (недалеко от жд.
станции Балашиха). Мы приглашаем пройти у нас обследование жителей Балашихи, Реутова, Железнодорожного, Медвежьих озер, поселка Восточный, мкр. 1 Мая, Звездного городка, Монино, Лосино-Петровского, Щелково, Люберец и Москвы. Жителям Москвы до нас удобно добраться от станций метро Щелковская, Новокосино, Новогиреево, Партизанская, Перово.
Сколько обычно стоит МРТ органов малого таза и на каком томографе его следует проходить:
Цена МРТ органов малого таза в Москве и Московской области варьирует обычно от 5 до 10 тысяч рублей. Стоимость, как правило, завит от класса оборудования и «мощности» томографа.
Провести исследование можно на любом томографе, но наиболее достоверное и клинически ценные результаты можно получить исключительно при исследовании на оборудовании с индукцией магнитного поля 1-1.5 Тесла. Эти цифры конечно же важные, но не являются абсолютным залогом успеха т.к.
на качество исследования так же влияют модификация оборудования, дополнительно установленные опции, качество экранной конструкции (клетки Фарадея), настройки протоколов, настройки и калибровки томографа, квалификация медицинского персонала.
В нашем центре установлен очень хороший томограф — Сименс Магнетом Гармони Эксперт 1Т, который позволяет проводить более 40 видов различных исследований и предложить нашим пациентам отличное качество за разумные деньги.
Мы регулярно проводим техническое обслуживание и контроль настроек нашего томографа, обучающие семинары и тренинги для наших сотрудников. Для нас очень важно, чтобы наши пациенты были довольны. Ведь МРТ – это всего лишь инструмент в руках врача. В нашем случае – это хороший инструмент в руках грамотных специалистов.
Где еще можно пройти МРТ в Балашихе, Реутове, Железнодорожном:
— Доктор Боголюбов
— ГВКГ ВВ МВД России
— АБС-Медицина
— Балашихинский диагностический центр
— Московский областной онкологический диспансер
— Ангара
Магнитно-резонансная томография (МРТ) органов малого таза

Магнитно-резонансная томография (МРТ) — это современный неинвазивный и высокоинформативный метод визуального исследования внутренних органов. В основу этого метода положен биологический феномен клеток человеческого тела издавать импульсы в ответ на воздействие магнитного поля большой мощности.
Благодаря этому методу появилась возможность исследовать даже самые мелкие структуры в толще тканей, изучить их органические и функциональные характеристики, оценить степень их отклонения от нормы.
С помощью МРТ малого таза можно исследовать те органы, которые малодоступны для других видов исследования, поскольку надежно защищены мощным костным, мышечным и соединительнотканным каркасом. Часто его назначают в качестве уточняющего метода исследования или для проведения неоперативной дифференциальной диагностики.
Суть метода
Диагностика основана на явлении ядерно-магнитного резонанса. При мощном магнитном поле протоны водорода в молекулах живых клеток начинают поглощать электромагнитную энергию.
Эхосигнал от них улавливается высокочувствительными датчиками Фурнье, а с помощью компьютера преобразовывается в анатомическую фотографию (срез) тканей и органов в зависимости от интенсивности получаемых сигналов.
МРТ органов малого таза проводят в несколько последовательных этапов. Первым из них является обзорный снимок таза, с помощью которого выясняют общие моменты: наличие или отсутствие органов, их общее состояние, локализацию и взаимное расположение в малом тазу. Далее получают срезы в разных режимах, импульсных последовательностях и проекциях.
Показания для назначения
В женском малом тазу расположены внутренние половые органы (матка с придатками, шейка, влагалище), мочевой пузырь и прямая кишка, в мужском — мочевой пузырь, семенные железы, предстательная железа и прямая кишка. Учитывая, что в малом тазу у мужчин и женщин расположены разные органы, показания к назначению МРТ у них также отличаются.
Общими для мужчин и женщин показаниями для МРТ малого таза являются:
- боль в области органов малого таза неустановленной этиологии (обычно назначается после УЗИ);
- воспалительные процессы в этой области (инфильтраты, абсцессы);
- болезни мочевого пузыря и нижней части мочеточников;
- доброкачественные или злокачественные новообразования в малом тазу (кисты, опухоли);
- метастазы в органы малого таза;
- аномалии развития;
- опущение внутренних органов;
- болезни прямой кишки.
МРТ женского малого таза позволяет оценить состояние мочевого пузыря, матки, маточных труб, яичников, влагалища, околоматочного и околовлагалищного пространства, нижних отделов кишечника. Таким образом, показаниями к его проведению у женщин (отличительно от мужчин) являются:
- кровотечения из внутренних половых органов неясного генеза;
- обнаружение опухоли или другого новообразования в половых органах при других методах обследования;
- эндометриоз;
- бесплодие;
- спаечная болезнь.
При этом плановое исследование внутренних половых органов менструирующих женщин (матки, маточных труб, яичников) проводят в дни, когда нет менструации.
Исследование у мужчин проводится для оценки состояния предстательной железы и семявыводящих протоков, мочевого пузыря и прямой кишки.
МРТ считается хорошим безболезненным диагностическим методом для установления локализации новообразований и степени их распространения или метастазирования. Эта методика в ряде случаев позволяет врачу определиться с тактикой ведения больного, скорректировать программу лечения и спрогнозировать его результат.
Учитывая широкий спектр показаний, направить на процедуру магнитно-резонансной томографии органов малого таза могут врачи-специалисты разных профилей: гинеколог, уролог, андролог, проктолог, хирург, травматолог, онколог.
Противопоказания к процедуре
Несмотря на то, что МРТ является безопасной и безболезненной процедурой, у нее все же есть ряд противопоказаний. Они, в основном, касаются особенностей методики. Аппарат создает сильное магнитное поле, поэтому это исследование категорически запрещено проводить лицам с:
- кохлеарными имплантатами;
- металлическими стентами, клипсами или скобами (например, на сосудах);
- искусственными клапанами в сердце;
- имплантированными нейро-, кардиостимуляторами или дефибрилляторами;
- осколками, пулями или другими металлическими предметами в теле.
Проведение магнитно-резонансного исследования не рекомендовано женщинам, находящимся в первом триместре беременности. Достоверных данных о вреде магнитного поля для малыша нет, но риски возникновения патологий в этот период настолько высоки, что от такого обследования лучше временно отказаться в пользу других методов, например, ультразвуковой диагностики.
Преимущества и недостатки методики
Метод магнитно-резонансной томографии имеет много преимуществ перед другими диагностическими исследованиями:
- Он является неинвазивным, то есть не травмирует ткани и не вызывает болезненных ощущений у обследуемого.
- Исследование очень информативное, поэтому позволяет определить патологию на ранних этапах ее развития.
- Высокая разрешающая способность процедуры позволяет получить четкие и очень тонкие срезы, что важно при исследовании онкологических процессов в организме.
- На полученных изображениях отсутствуют невидимые зоны, как при ультразвуковом исследовании.
- Срезы можно получить в любой плоскости, что показывает точную взаимосвязь патологически измененного органа с соседними тканями.
- Используемое (при необходимости) контрастное вещество дает намного меньше побочных эффектов и аллергических реакций, чем йодсодержащий контраст, применяемый при рентгеновских методах исследования.
- Отсутствие лучевой нагрузки на пациента дает возможность проведения повторного обследования больного в ходе проводимого лечения без вреда для него.
К недостаткам метода магнитно-резонансной томографии можно отнести невозможность его проведения у тех пациентов, которые имеют в теле несъемные металлосодержащие предметы. Трудно проводить МРТ маленьким детям: во время процедуры необходимо, чтобы пациент лежал неподвижно, а малыши лежать без движения не могут.
Еще одним недостатком магнитно-резонансного метода является высокая цена за процедуру (от 5 тысяч рублей и выше).
Подготовка к исследованию
В экстренном случае МРТ можно проводить без предварительной подготовки. Чтобы избежать возникновения артефактов на снимках или возникновения нежелательных побочных эффектов, к плановой процедуре нужно правильно подготовиться. О правилах подготовки пациенту должен сообщить врач, направляющий его на обследование. Подготовка к исследованию каких-либо сложных процедур не предусматривает.
За 2-3 дня до процедуры рекомендуется придерживаться диеты: исключить жирную, жареную пищу, бобовые, капусту, газированные напитки. Лучше употреблять жидкую или полужидкую пищу, которая быстро выводится из организма и не провоцирует повышенное газообразование в кишечнике. За 4-6 часов до исследования пациенту лучше не есть.
Накануне исследования желательно очистить кишечник. Для этого можно поставить очистительную клизму вечером или принимать слабительные средства в последние 1-2 дня перед МРТ. Пустой кишечник не будет препятствовать осмотру матки и ее придатков, а также позволит визуализировать состояние стенки самого кишечника при подозрении на онкологию, метастазирование или прорастание эндометриоза.
Мочевой пузырь следует наполнить – не мочиться за час до исследования и выпить непосредственно перед обследованием 2 стакана воды. Достаточное наполнение мочевого пузыря обеспечивает хорошую визуализацию стенок, но нужно избегать переполненного мочевого пузыря, так как это увеличивает вероятность появления артефактов на снимках. При переполненном пузыре четкость изображения снижается.
Для контрастирования при МРТ используют вещества, содержащие соли гадолиния. Если планируется обследование с применением контрастного вещества, обследуемый обязательно должен предупредить медперсонал кабинета МРТ-диагностики о наличии у него патологий почек, аллергий или бронхиальной астмы.
Непосредственно перед процедурой пациентам необходимо снять с себя одежду с металлической фурнитурой: ремни, часы, слуховые аппараты, съемные зубные протезы, ювелирные украшения и бижутерию (кольца, цепи, серьги, запонки, пирсинг на теле), выложить из карманов кредитные карточки, ножи, очки, мобильные телефоны, то есть, все, в чем есть какой-либо металл. Одежда обследуемого не должна быть тесной или утягивающей.
Методика обследования
Правильно подготовленный пациент переодевается в одноразовую одежду или находится в своей одежде без металлической фурнитуры. После этого он ложится на специальную кушетку, которая будет двигаться вдоль сканирующей трубы. Существуют аппараты закрытого и открытого типа.
Томограф закрытого типа представляет собой цилиндр, в стенки которого вмонтирован мощный магнит и специальные датчики, улавливающие сигналы. Вдоль этого цилиндра движется кушетка с пациентом.
Этот вид аппарата не подходит для пациентов со страхом замкнутых пространств (клаустрофобией) и для лиц с выраженным ожирением (более 120 кг). Томографы закрытого типа считаются более предпочтительными для проведения исследования, потому что дают более четкое и качественное изображение.
В томографах открытого типа магнит и датчики вмонтированы в полусферу, которая находится над пациентом, а по бокам такой аппарат открыт.
При МРТ органов малого таза магнитная катушка устанавливается напротив таза пациента. Во время проведения процедуры (без контраста — 20-30 минут) обследуемый должен лежать неподвижно. Любое движение может исказить результат исследования.
Сама томография является абсолютно безболезненной процедурой, но если пациент испытывает боль еще до ее начала, ему необходимо дать обезболивающие, спазмолитические или седативные средства. При исследовании человек слышит потрескивание в аппарате и может ощущать тепло в теле.
Несмотря на то, что в комнате, где стоит томограф, кроме обследуемого, зачастую никто не находится, беспокоиться по этому поводу не следует.
В аппарат вмонтированы микрофон и колонка, а за процессом постоянно наблюдают рентгенлаборант, выполняющий обследование, и врач-рентгенолог, поэтому в любой момент больной может сообщить медперсоналу, если у него возникают какие-то сомнения по поводу своего самочувствия.
Побочные эффекты
Побочные эффекты при проведении МР-исследования появляются крайне редко.
Одним из редких, но опасных побочных действий является системный нефрогенный фиброз, который может возникать у больных с тяжелыми заболеваниями почек при проведении процедуры с контрастированием.
Препарат выводится с мочой, поэтому контрастирование может проводиться только пациентам без тяжелых почечных патологий. На контрастное вещество также могут развиваться аллергические реакции при индивидуальной непереносимости его пациентом.
После получения заключения МРТ-диагностики пациенту необходимо обратиться к своему лечащему врачу.
Для постановки диагноза одного магнитно-резонансного исследования недостаточно: нужно учитывать данные анамнеза, жалобы, особенности клинического течения, результаты лабораторных исследований и инструментальных методов.
Оценивать все эти данные следует в комплексе: только в этом случае можно минимизировать вероятность постановки ошибочного диагноза и, соответственно, назначения неправильного лечения.
Тедеева Мадина Елкановна
Специальность: терапевт, врач-рентгенолог.
Общий стаж: 20 лет.
Место работы: ООО “СЛ Медикал Груп” г. Майкоп.
Образование: 1990-1996, Северо-Осетинская государственная медицинская академия.
Повышение квалификации:
1. В 2016 году в Российской медицинской академией последипломного образования прошла повышение квалификации по дополнительной профессиональной программе «Терапия» и была допущена к осуществлению медицинской или фармацевтической деятельности по специальности терапия.
2. В 2017 году решением экзаменационной комиссии при частном учреждении дополнительного профессионального образования «Институт повышения квалификации медицинских кадров» допущена к осуществлению медицинской или фармацевтической деятельности по специальности рентгенология.
Опыт работы: терапевт – 18 лет, врач-рентгенолог – 2 года.
Использование МРТ для диагностики заболеваний органов малого таза

Такое исследование, как магнитно-резонансная томография, буквально два десятка лет назад не являлось самостоятельным методом диагностики. Это была лишь вспомогательная методика.
Сегодня этот метод исследования является вполне самостоятельным, с помощью которого можно досконально обследовать не только анатомию, но и структуру тканей органов таза.
Диагноз ставится с большой точностью, параллельно можно установить причину и назначить в дальнейшем верное лечение.
Принцип метода
МРТ внутренних органов основан на применении магнитных волн (не рентгеновского излучения!), с помощью которых делается сканирование. Волны проходят сквозь ткани, через все отделы, и выдают в конечном результате объемную картинку. Чаще всего она бывает многосторонней.
Все зависит от количества снимков: чем больше снимков, тем достоверней информация. В некоторых случаях проводят МРТ органов малого таза с контрастом, что увеличивает точность исследования. Что такое контраст? Это вещество, которое вводят внутривенно для лучшей видимости сосудов.
Обычно применяется препарат на основе гадолиния.
МРТ таза позволяет определить не только наличие патологии, но и степень заболевания. С помощью МРТ малого таза с контрастом возможно исследование состояния сосудов, костной ткани.
Магнитно-резонансная томография значительно отличается от компьютерной томографии, при которой обследование проводят с помощью рентгеновских лучей. В связи с этим она отличается своей безопасностью. Результаты МРТ достаточно точны.
Показания для применения МРТ органов малого таза
- Основным назначением МРТ органов малого таза является диагностика онкологии. Выявляют и смотрят динамику патологии, ее степень.
- Сомнения и трудности постановки диагноза при травмах малого таза.
- При аномалиях и патологиях в малом тазу такой метод используют с определенной периодичностью.
- Магнитно-резонансную томографию малого таза назначают при болезнях почек, мочевыводящих путей.
- Диагностика бесплодия у мужчин и женщин помогает установить причину патологии, что показывает МРТ малого таза у женщин и МРТ органов малого таза у мужчин.
- При врожденных аномалиях развития прямой кишки.
- До и после хирургического вмешательства в малом тазу.
- Для выяснения точного диагноза тогда, когда другие проведенные исследования не дали результатов.
В случаях, когда требуется определить область распространения метастазов, применяют Мрт с контрастированием.
Такой метод позволяет видеть не только пораженные участки, но и соседние с ними органы.
Мрт с контрастированием
Мрт с контрастированием является усиленным. Это позволяет получить информацию о структуре онкологического образования. С ее помощью можно проконтролировать эффективность лучевой и химиотерапии.
Исследование малого таза с контрастированием дает полную визуальную картину состояния лимфатических узлов в малом тазу. Исследование органов таким методом позволяет выявить патологию в начальной ее стадии.
Мрт у женщин
Органы малого таза женщины
Использование МРТ органов малого таза у женщин позволяет выявить патологию женских органов (матка, влагалище, яичники), а также мочевого пузыря и лимфатической системы. С его помощью можно предположить причину основных женских заболеваний:
- Установить причину нарушения менструального цикла;
- Диагностировать эндометриоз;
- Выявить воспалительные процессы в органах малого таза как в начальной стадии, так и при хронической форме;
- Выявить миомы, полипы, кисты;
- Оценить состояние маточных труб, обнаружить спаечный процесс;
- Выявить дефекты развития яичников, определить их положение.
По определенным показаниям МРТ можно проводить беременным женщинам. Исключением являются лишь ранние сроки беременности.
Мрт у мужчин
Органы малого таза мужчины
Мужчине назначают магнитно-резонансное обследование при таких заболеваниях:
- Простатит и везикулит;
- Травмы мужских половых органов;
- Сосудистые нарушения малого таза мужчин;
- Для выявления новообразований;
- Другую тазовую патологию;
- Для уточнения данных, которые были получены при альтернативных методах диагностики.
Для МРТ малого таза у мужчин так же требуется наличие показаний.
Противопоказания
МРТ не имеет аналогов, ибо метод практически безопасен. Но противопоказания есть и у него. Что к ним относится?
Абсолютные противопоказания
- Наличие имплантатов, в состав которых входят металлические частицы: зубные коронки, шунты, клипсы, кардиостимуляторы, инсулиновые помпы и др;
- В тех случаях, когда проводят МРТ с контрастом, противопоказанием является наличие аллергии на контрастное вещество;
- Томография с контрастным веществом не применяется и в том случае, если у пациента наблюдается почечная недостаточность. Контрастное вещество выводится почками, что может вызвать обострение заболевания;
Относительные противопоказания
Такие противопоказания, при которых данное обследование не рекомендуется, но может быть проведено в случае острой необходимости:
- Беременность. Если есть угроза для жизни матери, диагностика этим методом возможна. В этом случае допустимо проведение томографии без контраста;
- Грудное вскармливание. При необходимости кормление грудью прекращают;
- При наличии у пациента клаустрофобии обследование либо не проводят, либо принимают меры для обеспечения полной неподвижности. Такой мерой может быть медикаментозный сон;
- Дети до 5 лет, т. к. от маленьких детей нельзя требовать полной неподвижности;
- Избыточный вес, более 130 кг, а так же большой обхват талии. Это обусловлено размером достаточно узкой камеры томографа. Однако в настоящее время существуют томографы открытого типа, использование которых возможно для людей с избыточной массой.
Побочные эффекты при проведении магнитно-резонансной томографии органов малого таза бывают крайне редко. Они могут быть вызваны реакцией на контрастное вещество. Проявляются в виде жжения, крапивницы, зуда. Может появиться кашель, удушье.
Схема проведения МРТ
- Перед МРТ врач должен выявить отсутствие всех возможных противопоказаний и объяснить, как проводится обследование.
- Пациенту объясняют все нюансы проведения диагностики, как делают МРТ, иногда просят переодеться для сканирования.
- Непосредственно перед сканированием следует снять с себя все металлсодержащие предметы.
При МРТ их наличие недопустимо.
- Пациент ложится на стол аппарата, приняв более удобную позу. После чего ремешками и валиками его фиксируют для обеспечения полной неподвижности.
- Стол задвигается в томограф.
В некоторых случаях одевают звукоизолирующие наушники (так как громкий звук работы томографа может вызывать у некоторых пациентов дискомфорт).
- В тоннеле аппарата установлен микрофон, который можно использовать для связи с врачом.
- Если диагностика проводится с контрастным веществом, то могут появиться ощущения холода или жара.
- Контрастное вещество вводится автоматически через катетер, который устанавливается внутривенно предварительно.
- Время проведения диагностики длится около получаса. Если исследование проводится с применением контраста, то оно может увеличиться вдвое.
- И последний этап — расшифровка результата.
Она занимает около 1 — 2 часов (иногда в связи с необходимостью более подробного анализа результаты могут выдаваться на следующий день). Расшифровка МРТ малого таза выдается пациенту на руки.
Подготовка к процедуре
Перед проведением обследования необходима подготовка к МРТ органов малого таза. Что в нее входит? Обязательно назначается диета, которая уменьшает газообразование, т. е.
требуется исключить из своего рациона газообразующие продукты (бобовые, газированную воду, молочные продукты и т. д.). В эти дни необходимо обильное питье.
Но за 4 -6 часов до обследования от жидкости придется отказаться.
Непосредственно в день проведения исследования, за 1 час до него, рекомендуют принять спазмолитик (но-шпа, папаверин, дротаверин). Если томография проводится без контраста, то утром можно позволить себе легкий завтрак. Если же с контрастом проводится только на голодный желудок, есть не позволяется.
Помимо общих правил подготовки к обследованию требуется соблюдение частных мер, которые напрямую зависят от рода и цели исследования:
- При диагностике мочевого пузыря требуется, чтобы мочевой пузырь был наполнен; Во всех остальных случаях — наоборот,
- При проведении диагностики заболеваний прямой кишки кишечник должен быть опорожнен. Если этого нельзя добиться естественным способом, то необходимо сделать клизму.
Подготовка к МРТ малого таза у мужчин не ограничивается временными рамками. Обследование женщин при патологии матки, яичников и маточных труб исследование, как правило, проводится на второй неделе менструального цикла.
При назначении врачом этого обследования пациенту обязательно разъясняют, как подготовиться к МРТ малого таза.
МРТ в отношении к другим альтернативным методам
Заключения, полученные после проведения магнитно-резонансной томографии значительно превосходят показатели, которые получают альтернативными методами: УЗИ, компьютерной томографией и рентгенографией. То, что не удалось выяснить при использовании традиционных методов, покажет МРТ.
При данной диагностике возможно исследование с «полным погружением» в патологическую область, что позволяет выявить даже незначительные изменения в тканях и органах. Оно дает более полную информацию и позволяет провести осмотр во всех плоскостях.
МРТ является процедурой неинвазивной, т. е. такой, которая не требует хирургического вмешательства.
В заключение хочется еще раз сказать, что большую роль в диагностике играет подготовка к исследованию, иначе результат может быть несколько искажен. Пациент обязан знать, как проходит такое обследование.
Проводить магнитную томографию можно неоднократно и через малые промежутки времени. Это не несет никакой опасности.
Именно поэтому метод магнитно-резонансной томографии стал самостоятельным и единственным в своем роде.
Использование МРТ для диагностики заболеваний органов малого таза Ссылка на основную публикацию
Мрт органов малого таза

Используем высокоэффективные диагностические аппараты, зарекомендовавшие себя в клиниках Германии, Италии и США.
Перезвоним и запишем на приём в течение 20 минут
Круглосуточно
и без выходных
Обследование в день
обращения без очередей
30 % скидка на
обследования ночью
МРТ — наиболее информативный метод исследования органов малого таза, используемый в диагностике заболеваний мочевого пузыря, прямой кишки и репродуктивных органов. Обеспечивает многоплоскостную и трехмерную визуализацию анатомии в норме и при патологии, это.
В некоторых случаях, для улучшения качества снимков, проводят Мрт органов малого таза с контрастом.
Пациенты, проходящие магнитно-резонансную томографию, не подвергаются воздействию ионизирующего излучения (рентгеновского излучения) или йодсодержащих контрастных веществ, что делает данный метод обследования безопасным для детей.
Что показывает Мрт органов малого таза?
Часто, классического физического обследования недостаточно для оценки причин дисфункции органов тазового дна. МР-сканирование позволяет получить снимки с контрастом как костных, так и мягких тканей и дает возможность оценить степень развития, размеры и точную локализацию инфекционных, воспалительных и опухолевых процессов.
Магнитно-резонансная томография органов малого таза позволяет изучить анатомию мочевого пузыря и мочевыводящих протоков, нижних отделов кишечника, мускулатуры, органов репродуктивной системы, а также выявить причину женского или мужского бесплодия. Информация, полученная во время сканирования, используется врачами при постановке диагноза, планировании стратегии медикаментозного или хирургического лечения.
На МРТ малого таза могут быть обнаружены:
- Воспалительные заболевания органов малого таза;
- кисты, доброкачественные и злокачественные опухолевые образования, свищи, абсцессы;
- спаечные процессы в маточных трубах у женщин.
Поскольку в области таза находятся репродуктивные органы, ваш врач может назначить тест по разным причинам, в зависимости от вашего пола.
МР-сканирование органов малого таза назначается людям вне зависимости от пола при:
- Травмах в области малого таза;
- боли в нижней части живота или таза;
- трудности при мочеиспускании и / или дефекации;
- подозрении на доброкачественные или злокачественные новообразования в репродуктивных органах, мочевом пузыре, прямой кишке или мочевыводящих путях;
- подозрении на инфекции или воспалительные заболевания;
- подозрении на асептический / аваскулярный некроз бедра;
- дисфункции крестцово-подвздошного сустава.
Для женщин врач может назначить томографию таза при диагностики следующих патологий:
- Бесплодие;
- нерегулярные влагалищные кровотечения;
- массы в области матки и придатков (например, миома), врожденные аномалии;
- оценка общего состояния матки перед хирургическим вмешательством, эмболизацией;
- обследование плода.
Для мужчин МРТ малого таза назначают в случаях:
- Крипторхизма (неопущение яичка);
- рака простаты;
- комков в мошонке или яичках, отека в этой области.
Аппарат МРТ создает сильное магнитное поле: наличие любого металлического предмета в области обследования (кардиостимулятора, металлического протеза или зажима) может повлиять на качество изображений, вызвать у вас дискомфорт или травму при проведении магнитно-резонансной томографии.
В ситуации, когда предпочтительно провести МРТ с контрастом, ограничения на применимость метода накладывает наличие в истории болезни заболеваний почек или печени, аллергия на контрастирующее вещество.
Если диагностика не требует введения контраста, готовиться к ней заранее не нужно. Непосредственно перед запуском томографа важно снять все металлические украшения, пряжки и электронные приборы: с этим вам помогут администраторы центра.
Перед томографией с контрастом желательно не есть 2-3 часа и пить только воду.
Как проводится и сколько длится МРТ?
Процедура полностью безболезненна, не доставляет никакого дискомфорта и обычно занимает от 20 до 50 минут, в зависимости от того, какие области тела исследуются, и сколько изображений нужно получить. Важно, чтобы вы расслабились и лежали как можно неподвижнее: любое движение во время исследования размоет полученное изображение. Результаты МРТ будут готовы в течение часа.
Для МРТ-диагностики отлично подходят высокопольные томографы GE Signa HDxt 1.5 T клиники ЦМРТ.
Оборудование отличается точностью результатов и скоростью проведения процедуры, и используется как в диагностике онкологических заболеваний и локализации метастазов, так и для процедур, требующих меньшей разрешающей способности.
Записаться в клинику ЦМРТ
Позвоните +7 495 181-96-05 или оставьте свои данные, мы вам перезвоним и ответим на все вопросы
Консультация врача до МРТ — бесплатно
30 % скидка на обследования ночью
Обследование в день обращения
Санкт-Петербург
Чернышевская
Нарвская
Озерки
Выборгское ш., д. 40
+7 812 640-36-03
10:00–21:00 без выходных
Автомобиль можно оставить в парковочном кармане возле центра. Или возле дома 48, в 200 метрах от центра
Ладожская
Петроградская
Московская
Старая деревня
Ленинградская обл.
Колпино
бул. Трудящихся, д. 18, корп. 1
8:00–22:00 без выходных
Автомобиль можно оставить на бульваре Трудящихся или во дворе дома 22
Кингисепп
ул. Воровского, д. 20
пн, ср, пт, сб, вс — 9:00–22:00 вт, чт — 7:00–00:00
Автомобиль можно оставить на стоянке возле центра
Выборг
ул. Куйбышева, д. 10
8:00–22:00 без выходных
Автомобиль можно оставить возле центра на улице Куйбышева. Или на улицах Ильинская и Акулова
Ранняя диагностика позволяет своевременно выявить скрытые заболевания и назначить профилактическое лечение, предотвратив появление тяжелых симптомов в будущем. Мы применяем современные высокоточные методы, безопасные для организма.