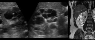
Причины возникновения, симптомы и лечение кисты почки 11.02.2018 3.2 тыс. 2.2 тыс. 5 мин.
Персиковый сок: польза и вред, калорийность и химический состав, как заготовить Древние эллины и
Эякуляция ретроградная (анэякуляция), сперматозоиды в моче Ретроградная эякуляция (сперма в моче) – явление, при
В каком возрасте у женщины может начаться подтекание мочи после мочеиспускания? Порой возникает подтекание
Почему происходит самопроизвольное мочеиспускания во время смеха, кашля, чихания Неудерживание мочи или медицинское название,
Цитробактер в кале: нужно ли лечить инфекцию? Цитробактер (в бланках результатов лабораторного исследования кала
Морфология спермограммы: нормы и отклонения, критерии Спермограмма — это основной анализ для оценки мужского здоровья,
Везикар Отзывы о лекарствах Таблетки, покрытые пленочной оболочкой, Astellas Pharma Europe B.V. Форма выпуска
Инструкция по применению Магнезии в капелницах от высокого давления и гипертонии Магнезия – универсальное
Антибиотики при цистите среда, января 15, 2014 — 05:49 Тема эффективного средства от цистита