Голова как в тумане: причины и лечение такого состояния Туман в голове, тяжесть, сдавливание,
Признаки кисты гипофиза и методы избавления от нее Кистой гипофиза называется полость, заполненная спинномозговой
Оформление инвалидности при болезни Альцгеймера При выявлении у пациента болезни Альцгеймера диагноз устанавливают пожизненно.
Роды при пороке сердца: формы заболевания, осложнение, обезболивание Чтобы избежать плачевных последствий для будущей
Появилась вмятина на голове болит Головная боль считается достаточно распространенным недугом и имеет различную
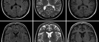
Самостоятельная расшифровка МРТ головного мозга: результаты, заключение по снимкам МРТ — один из самых
Надо делать операцию Иногда врач предоставляет пациенту самому решать: «Вы будете оперироваться или пока
Роды без боли – стопроцентные методы, которые помогут родить легко Болезненные ощущения, испытываемые во
Чем опасна астроцитома в головном мозгу и есть ли шанс ее полностью вылечить Наличие
Mass Effect Материал из Posmotre.li Ня! Это хорошая статья. Нам она нравится такой, какая