Перейти к контенту
Совет медика

Совет медика

Советы по лечению

  • Гинеколог
  • Дерматолог
  • Невропатолог
  • Кардиолог
Можно ли заниматься на физкультуре при хроническом пиелонефрите?
Нефролог

Можно ли заниматься на физкультуре при хроническом пиелонефрите?

Комплекс допустимых упражнений при пиелонефрите Лечебная физкультура не показана при пиелонефрите, поскольку любое физическое
Совет медика
Может это почки? Помогите
Нефролог

Может это почки? Помогите

Как я лечила симптомы почек и как вылечить почки » Как я лечила симптомы
Совет медика
Диализ при онкологии
Нефролог

Диализ при онкологии

Сколько живут при диализе почек люди с почечной недостаточностью Почки человека выполняют важную функцию
Совет медика
Возможно ли родить после пересадки почки
Нефролог

Возможно ли родить после пересадки почки

Как протекает беременность после трансплантации почки? Современная медицина позволять вести беременность после трансплантации почки,
Совет медика
Дисметаболическая нефропатия
Нефролог

Дисметаболическая нефропатия

Дисметаболическая нефропатия: когда нарушаются обменные процессы в организме Дисметаболическая нефропатия (ДН или обменная) –
Совет медика
Можно ли достичь ремиссии и лечится ли это заболевание
Нефролог

Можно ли достичь ремиссии и лечится ли это заболевание

Как добиться стойкой ремиссии при раке? Онкология – достаточно распространенное заболевание, которое требует своевременной
Совет медика
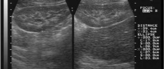
Дисметоболическая нефропатия. УЗИ почек
Нефролог

Дисметоболическая нефропатия. УЗИ почек

Дисметаболическая (обменная) нефропатия: диагностика, симптомы и лечение, диетическое питание, прочие аспекты заболевания Дисметаболическая нефропатия
Совет медика
Единственная почка
Нефролог

Единственная почка

Можно ли рожать с одной почкой или беременнеть В ежедневной медицинской практике все чаще
Совет медика
Возможно ли лечение дома
Нефролог

Возможно ли лечение дома

Лечение пневмонии в домашних условиях, как быстро вылечить воспаление легких дома Клиническое заключение о
Совет медика
Единственная правая почка
Нефролог

Единственная правая почка

Одна почка с рождения: причины аномалии, как жить с такой патологией У здорового человека
Совет медика
Навигация по записям
Назад 1 … 522 523 524 … 547 Далее
Популярное
Единственная правая почка
Месячные пришли на 5 дней позже и шли 2 дня
Гинеколог
Единственная правая почка
Вместо нистатина от кандидов в горле
Лор
Единственная правая почка
Эмпиема плевры
Пульмонолог
Единственная правая почка
Что то похожее на шрамы
Дерматолог
Рубрики
  • Аллерголог (38)
  • Венеролог (85)
  • Гастроэнтеролог (212)
  • Гематолог (95)
  • Генетик (48)
  • Гинеколог (1 694)
  • Гомеопат (14)
  • Дерматолог (350)
  • Детский гинеколог (11)
  • Детский невролог (19)
  • Детский уролог (5)
  • Детский хирург (60)
  • Детский эндокринолог (11)
  • Диетолог (24)
  • Иммунолог (45)
  • Инфекционист (148)
  • Кардиолог (303)
  • Косметолог (31)
  • Логопед (4)
  • Лор (206)
  • Маммолог (115)
  • Медицинский юрист (4)
  • Нарколог (29)
  • Невропатолог (276)
  • Нейрохирург (17)
  • Нефролог (26)
  • Онколог (86)
  • Онкоуролог (6)
  • Ортопед-травматолог (105)
  • Офтальмолог (217)
  • Педиатр (180)
  • Пластический хирург (4)
  • Проктолог (27)
  • Психиатр (110)
  • Психолог (92)
  • Пульмонолог (69)
  • Ревматолог (6)
  • Рентгенолог (4)
  • Сексолог-Андролог (131)
  • Стоматолог (66)
  • Терапевт (125)
  • Уролог (80)
  • Фармацевт (12)
  • Фитотерапевт (4)
  • Флеболог (26)
  • Хирург (76)
  • Эндокринолог (171)
  • Правообладателям
© 2023 Совет медика