Перейти к контенту
Совет медика

Совет медика

Советы по лечению

  • Гинеколог
  • Дерматолог
  • Невропатолог
  • Кардиолог
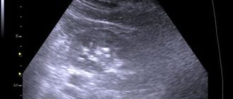
УЗИ почек при диабете
Нефролог

УЗИ почек при диабете

Что может показать узи почек при сахарном диабете Раннее выявление сахарного диабета может предотвратить
Совет медика
Через какое время сдавать анализы крови?
Нефролог

Через какое время сдавать анализы крови?

Через какое время готовы анализы крови В статье рассмотрим, сколько делается общий анализ крови.
Совет медика
МКБ и оральные конктрацептивы
Нефролог

МКБ и оральные конктрацептивы

Лучшие противозачаточные таблетки, топ-9 рейтинг хороших таблеток В жизни каждой женщины, по той или
Совет медика
ЧЛС лоханка расширена
Нефролог

ЧЛС лоханка расширена

Расширена лоханка почки у взрослых, симптомы и лечение Что делать, когда расширена лоханка почки
Совет медика
Микрогематурия у ребенка
Нефролог

Микрогематурия у ребенка

Гематурия у детей: причины и симптомы заболевания Гематурия у детей представляет собой патологическое явление,
Совет медика
Микролиты в почках
Нефролог

Микролиты в почках

Микролиты в почках: причины и лечение 4 звезд — построен на 23184 просмотрах Микролиты
Совет медика
Morganella morganii в бак посеве из уретры
Нефролог

Morganella morganii в бак посеве из уретры

Morganella morganii в моче | Все об антибиотиках Род Proteus семейства Enterobacteriaceae включает грамотрицательные
Совет медика
Что значат показатели анализа
Нефролог

Что значат показатели анализа

Общий анализ крови Под общим анализом крови врачи подразумевают исследование и оценку соответствующего материала
Совет медика
Моча цвета гранатового сока
Нефролог

Моча цвета гранатового сока

Причины появления мочи оранжевого цвета у мужчин, женщин, ребенка Бережное отношение к своему организму
Совет медика
Мочевой пузырь и боли в почке
Нефролог

Мочевой пузырь и боли в почке

Болят почки при цистите: причины и лечение Цистит – воспалительное заболевание мочевого пузыря. Оно
Совет медика
Навигация по записям
Назад 1 … 521 522 523 … 547 Далее
Популярное
Мочевой пузырь и боли в почке
ВПЧ 27 типов 83 тип
Гинеколог
Мочевой пузырь и боли в почке
Высокий пролактин, замершая беременность
Гинеколог
Мочевой пузырь и боли в почке
Можно ли выпить постинор?
Гинеколог
Мочевой пузырь и боли в почке
Вероятность беременности при пропуске джес
Гинеколог
Рубрики
  • Аллерголог (38)
  • Венеролог (85)
  • Гастроэнтеролог (212)
  • Гематолог (95)
  • Генетик (48)
  • Гинеколог (1 694)
  • Гомеопат (14)
  • Дерматолог (350)
  • Детский гинеколог (11)
  • Детский невролог (19)
  • Детский уролог (5)
  • Детский хирург (60)
  • Детский эндокринолог (11)
  • Диетолог (24)
  • Иммунолог (45)
  • Инфекционист (148)
  • Кардиолог (303)
  • Косметолог (31)
  • Логопед (4)
  • Лор (206)
  • Маммолог (115)
  • Медицинский юрист (4)
  • Нарколог (29)
  • Невропатолог (276)
  • Нейрохирург (17)
  • Нефролог (26)
  • Онколог (86)
  • Онкоуролог (6)
  • Ортопед-травматолог (105)
  • Офтальмолог (217)
  • Педиатр (180)
  • Пластический хирург (4)
  • Проктолог (27)
  • Психиатр (110)
  • Психолог (92)
  • Пульмонолог (69)
  • Ревматолог (6)
  • Рентгенолог (4)
  • Сексолог-Андролог (131)
  • Стоматолог (66)
  • Терапевт (125)
  • Уролог (80)
  • Фармацевт (12)
  • Фитотерапевт (4)
  • Флеболог (26)
  • Хирург (76)
  • Эндокринолог (171)
  • Правообладателям
© 2022 Совет медика