При каком давлении давлении и как правильно принимать таблетки Каптоприл? Препарат Каптоприл – это
Причины, ЭКГ-признаки, проявления нарушений реполяризации сердца и вопросы терапии Сердце является органом, обеспечивающим кровоснабжение
Что такое дилатационная кардиомиопатия: причины и симптомы, лечение и прогноз жизни Дилатационная кардиомиопатия —
Как болит сердце: 10 симптомов, причины кардиалгий, что делать? Сердце Боли в области груди
Недостаточность клапана легочной артерии Он состоит из фиброзного кольца и перегородки, к которой прикреплены
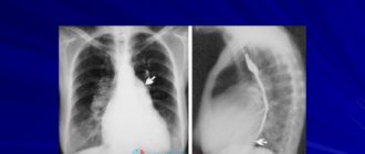
Что такое дилатация предсердий? Сердце человека, как полый мышечный орган, имеет свой запас прочности.
Дилатация левого предсердия: что это такое, причины, симптомы, лечение Стоянова Виктория , врач 2
Гипертрофия левого желудочка Под таким заболеванием, как гипертрофия левого желудочка имеется в виду такое
Миокардиодистрофия Термином «миокардиодистрофия» (вторичная кардиомиопатия, дистрофия миокарда) в кардиологии объединяют группу невоспалительных и недегенеративных
можно ли принимать конкор при низком давлении и высоком пульсе Препаратом Конкор Кор часто