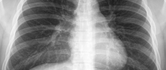
Прошел медкомиссию и рентген, а через 3 месяца умер от рака. Родные: В конце прошлого
Из-за чего пот стал неприятно пахнуть? Если в организме нарушена система потоотделения, то неприятный
Когда тромбоциты повышены у ребенка, о чем это говорит, как их уменьшить? О чем
Покраснение в уголке глаза с внешней или внутренней стороны: причины, лечение, что делать, если
Вредные рецепты от школьников: как «….Сливку взял, растолок, берёшь кефир и взбалтываешь. Пусть в
Нарушения стула у детей: причины проблем у новорожденных и дошкольников, что нужно делать Такое
Метастазы без первичного очага (невыявленного), могут ли быть без опухоли, лечение Метастатические поражения в
Макропен – аналоги Часто при лечении антибиотиками приходится менять препарат из-за непереносимости его компонентов.
Отравление Парацетамолом Самыми безобидными таблетками от температуры, является парацетамол. Используют его при боли в
Шрам на голове: особенности заживления и способы маскировки Шрамы Рубец после травмы или операции