Зубы лезут не по порядку: причины нарушения очерёдности роста Многие родители переживают, если у
Лимфоузлы на голове: расположение, фото, почему болят, функции и отклонения За защитные функции организма
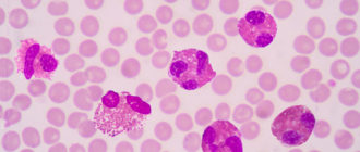
Немного о повышенных эозинофилах Эозинофилы представляют одну из групп лейкоцитов (белых телец крови). Их
Вещества для студентов Сессия — это постоянное недосыпание, стресс, переживания и усталость. Конечно, при такой нагрузке
Температура 39-39.5 без симптомов у ребенка причины и что делать Когда у детей развивается
Значение режима сна и способы его восстановления Взрослые люди регулярно нарушают режим сна, а
Показывает ли УЗИ печени гепатит, и как проходит обследование Пациентов, впервые обратившихся к гепатологу
Что делать, если температура держится у ребенка уже неделю: причины 37, 38 и 39
Норма АЛТ и АСТ у детей — почему они бывают повышены у ребенка Чтобы
Аллергия в виде сыпи на ногах: причины появления и методы лечения Дерматит Современный мир