На какие заболевания указывает белый налет на половых губах? Белый налет на половых губах
Эозинофилы в крови повышены, какая норма, причины увеличения результата анализа у детей, взрослых Обновление:
Высокая температура. Что делать, если температура поднялась и держится? Почему может быть температура —
Пузырьки на веках под ресницами: что это и причины появления Пузырьки на веках под
Высокая температура у ребенка — Что делать — МАЛЕНЬКОЕ ЧУДО Дети болеют, и высокая
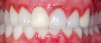
Гингивит: причины, симптомы, диагностика и лечение в Москве Гингивит — воспаление дёсен, при котором не
Эозинофилия На сегодняшний день существуют две основные классификации эозинофилии – по уровню повышения эозинофилов
Что делать, если у ребенка отрыжка Детский организм находится в состоянии непрерывного роста и
Что делать, если температура держится у ребенка уже неделю: причины 37, 38 и 39
Температура 39 и понос у ребенка: основные причины развития симптомов Если у ребенка понос