Перейти к контенту
Совет медика

Совет медика

Советы по лечению

  • Гинеколог
  • Дерматолог
  • Невропатолог
  • Кардиолог
Можно ли в баню с пневмонией в стадии рассасывания?
Пульмонолог

Можно ли в баню с пневмонией в стадии рассасывания?

Баня при пневмонии: можно ли париться при воспалении легких, ингаляции в бане 1 Когда
Совет медика
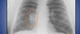
Возможен рак лёгкого
Пульмонолог

Возможен рак лёгкого

Прогноз выживаемости рака легких на 3 стадии: что нужно знать Сам по себе рак
Совет медика
Можно прекратить прием Серетида?
Пульмонолог

Можно прекратить прием Серетида?

Форумы: Серетид, какая продолжительность приема? breath_sЗдравствуйте, Ольга Александровна. Летом был у Вас на приеме
Совет медика
Доб. Доля справа на флюорографии
Пульмонолог

Доб. Доля справа на флюорографии

Доля непарной вены: что делать, если на флюорографии справа видна тень На флюорографии возможно
Совет медика
Длительный кашель у ребенка 3 лет
Пульмонолог

Длительный кашель у ребенка 3 лет

Не проходит затяжной кашель у ребенка без температуры | Доктор МОМ® Чем лечить затяжной
Совет медика
Движение воздуха в лёгком
Пульмонолог

Движение воздуха в лёгком

Дыхательные движения. Жизненная емкость лёгких. 8-й класс Класс: 8 Образовательные и развивающие задачи урока:
Совет медика
Длительный сухой кашель
Пульмонолог

Длительный сухой кашель

Чем лечить затяжной кашель у взрослого Специалисты называют кашлем рефлекторное сокращение мышц дыхательной системы.
Совет медика
Длительный субфебрилитет при медленно разрешающейся пневмонии
Пульмонолог

Длительный субфебрилитет при медленно разрешающейся пневмонии

Сколько держится температура при пневмонии и от чего это зависит Пневмонией именуется заболевание инфекционного
Совет медика
Долго кашель и усиление легочного рисунка
Пульмонолог

Долго кашель и усиление легочного рисунка

Что значит если на снимке видно что легочный рисунок усилен Флюорографию рекомендуют проходить ежегодно для
Совет медика
Возможность рецидива спонтанного пневмоторакса?
Пульмонолог

Возможность рецидива спонтанного пневмоторакса?

Первичный спонтанный пневмоторакс Виды пневмоторакса:• спонтанный — первичный — возникает в отсутствие клинически значимой
Совет медика
Навигация по записям
Назад 1 … 213 214 215 … 547 Далее
Популярное
Возможность рецидива спонтанного пневмоторакса?
Что за белая слизь?
Гинеколог
Возможность рецидива спонтанного пневмоторакса?
Могла ли передаться уреаплазма ребенку 5 лет
Гинеколог
Возможность рецидива спонтанного пневмоторакса?
Месячные после МА
Гинеколог
Возможность рецидива спонтанного пневмоторакса?
Дырка в колене
Ортопед-травматолог
Рубрики
  • Аллерголог (38)
  • Венеролог (85)
  • Гастроэнтеролог (212)
  • Гематолог (95)
  • Генетик (48)
  • Гинеколог (1 694)
  • Гомеопат (14)
  • Дерматолог (350)
  • Детский гинеколог (11)
  • Детский невролог (19)
  • Детский уролог (5)
  • Детский хирург (60)
  • Детский эндокринолог (11)
  • Диетолог (24)
  • Иммунолог (45)
  • Инфекционист (148)
  • Кардиолог (303)
  • Косметолог (31)
  • Логопед (4)
  • Лор (206)
  • Маммолог (115)
  • Медицинский юрист (4)
  • Нарколог (29)
  • Невропатолог (276)
  • Нейрохирург (17)
  • Нефролог (26)
  • Онколог (86)
  • Онкоуролог (6)
  • Ортопед-травматолог (105)
  • Офтальмолог (217)
  • Педиатр (180)
  • Пластический хирург (4)
  • Проктолог (27)
  • Психиатр (110)
  • Психолог (92)
  • Пульмонолог (69)
  • Ревматолог (6)
  • Рентгенолог (4)
  • Сексолог-Андролог (131)
  • Стоматолог (66)
  • Терапевт (125)
  • Уролог (80)
  • Фармацевт (12)
  • Фитотерапевт (4)
  • Флеболог (26)
  • Хирург (76)
  • Эндокринолог (171)
  • Правообладателям
© 2023 Совет медика