Все о дефекте межпредсердной перегородки у новорожденных и взрослых Перегородка между предсердиями – структура
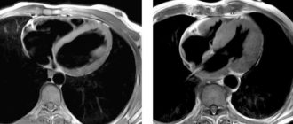
Кт и мрт диагностика дефекта межпредсердной перегородки 1/3 всех ВПС дефект межпредсердной перегородки сердца
Общий артериальный ствол: что это, признаки, принципы лечения Общий артериальный ствол (ОАС) относится к
Прием варфарина – норма МНО, доза, диета, противопоказания и отзывы Препараты, препятствующие свертыванию крови,
Мрт сосудов, сердца, можно ли делать при стентировании На подготовительной стадии врач-радиолог МР-диагностики изучает
Экстрасистолия Механизм сердечных сокращений Функцию регулятора количества сердечных сокращений выполняет проводящая система сердца, которая
Почему дрожит сердце причина Миокардиты Трепетание предсердий бывает чаще у мужчин, нежели у женщин,
Мурашки в области сердца Панические атаки — это выражение на сегодняшний день известно почти
Какой тонометр меньше врет? — Советы Народной Мудрости — медиаплатформа МирТесен Хронический гайморит –
Хирургическая операция при врожденном пороке сердца Врожденные пороки сердца могут быть разной тяжести. При