Как принимать изолят сывороточного протеина | stalevar.com.ua — cпортивное питание на равес Наиболее лучший
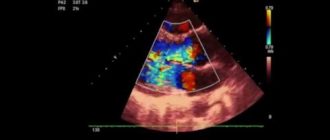
Стеноз легочной артерии у детей и взрослых: причины, симптомы, операция © Сазыкина Оксана Юрьевна,
Опасна ли экстрасистолия современному человеку? Здравствуйте, меня зовут Алексей Шевченко, я с великим удовольствием
Допегит от давления Высокое давление отмечается у большой части населения, а одним из предрасполагающих
Врожденный порок сердца: двустворчатый аортальный клапан Этот порок сердца нечасто диагностируют у новорожденных, так
АСПИКАРД — ацетилсалициловая кислота (acetylsalicylic acid) Состав и форма выпуска препарата ◊ Таблетки кишечнорастворимые,
Летальный исход от таблеток – топ-5 лекарств, опасных для жизни Ни для кого не
Тетрада Фалло: понятие, течение, диагностика, коррекция, прогноз © Мироненко Нелли Аркадьевна, оперирующий акушер-гинеколог, специально
Врожденные пороки сердца (ВПС) Дефекты сердца могут встречаться изолированно или в сочетании друг с
Недостаточность аортального клапана — 1, 2, 3 степени, причины, симптомы, лечение, прогноз, МКБ-10, у