Рентген зубов во время беременности: назначения и противопоказания, основы безопасности и последствия процедуры на
Честно о депульпировании: надо ли бояться процедуры удаления нерва? Если кариес вовремя не вылечен,
Языочка с внутренней стороны губы (белая болячка, ранка): симптомы, причины возникновения, как лечить Слизистая
Пузырь под языком (шарик, волдырь): что это, симптомы, почему появился, лечение, профилактика Пузырь под
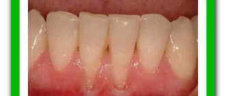
Почему десны опускаются и оголяются шейки зубов? Объясняет стоматолог Пациентов, которые жалуются на опущение
Десна отходит от зуба: причины, лечение, фото Ранее считалось, что десна отходит от зуба
Удаление разрушенных зубов: почему нельзя оставлять корни, обломки зуба? Дорогие друзья, по распоряжению
Темные пятна на деснах и небе – фото, причины и лечение Темные пятна на
Как избавиться от зубного флюса на десне и провести правильное лечение Первые проявления флюса
Черный волосатый язык: клиническая картина, методы обследования и лечения Отсутствие налета и бледно-розовый оттенок