Шанс забеременеть с первого раза: мифы и статистика Как забеременеть с первого раза – этим вопросом задается большинство будущих мам. Каждая женщина, планирующая беременность, хочет увидеть заветные две…
Гинеколог
Весь месяц мажет
Почему месячные мажут, а не идут Существует несколько причин, из-за которых месячные мажут, но не начинаются. Одни из них являются нормой, иные указывают на развивающуюся патологию, требующую срочной…
Могла ли я забеременеть от петтинга я девственница
Может ли девственница забеременеть: что такое девственная плева, в каких случаях она остаётся целой при наступившей беременности Неопытные в сексуальной жизни девушки задаются вопросом, можно ли зачать ребёнка,…
Могла ли я забеременеть на 9 день после КД?
Можно ли забеременеть на 10 день цикла и в другие дни МЦ: 5, 7, 8, 9, 11, 12, 13, 14, 28 (таблица) Пары, решившие завести ребенка, отказываются от…
Вес при приеме линдинет 20
Линдинет и лишний вес Меня все устраивает. Надежность проверенна-пью уже 2 года, не прибавила ни килограмма, грудь стала больше после начала приема, месячные как по часам-срок в срок,…
Могла ли я забеременеть после приема Постинор на третьи сутки?
Беременность после Постинора «Всегда раньше Постинор срабатывал безотказно, раз 10 принимала, наверное, а вот в последний раз залетела…» — дрожь по телу от подобных сообщений на форумах, а…
Вес плода на третьем скрининге
Особенности проведения третьего скрининга при беременности За время беременности женщине необходимо пройти три перинатальных скрининга. Каждое обследование важно и помогает врачам выявить риск развития патологий у плода. Во…
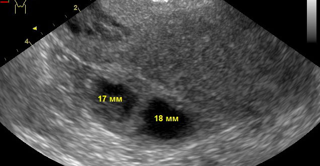
Могли ли перепутать миому с желтым телом?
Методы диагностики миомы матки В пятерку самых распространенных заболеваний женской половой системы входит миома матки. Это доброкачественное образование, которое появляется чаще всего у женщин за 40, но молодые…
Могло ли узи не показать беременность?
Может ли УЗИ не показать беременность Наиболее современным средством определения беременности является ультразвуковое обследование. Конечно, сегодня беременность можно определить при помощи аптечных тест-полосок, которые широко используются для этих…
Вешу 40 кг, пропали месячные
Отсутствие месячных после похудения Девушки и женщины в период соблюдения диеты отмечают, что пропали месячные после похудения. Это обусловлено жесткими ограничениями диеты. Важно не допустить такого состояния, поскольку…