Перейти к контенту
Совет медика

Совет медика

Советы по лечению

  • Гинеколог
  • Дерматолог
  • Невропатолог
  • Кардиолог
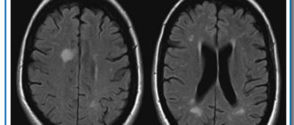
Мелкоочаговые поражения белого вещества головного мозга
Невропатолог

Мелкоочаговые поражения белого вещества головного мозга

Что такое очаговые изменения белого вещества головного мозга Головной мозг является центром, которой регулирует
Совет медика
Частые головные боли и вкус крови во рту
Невропатолог

Частые головные боли и вкус крови во рту

Почему возникает привкус крови во рту? Появление привкуса крови во рту может появиться по
Совет медика
Ужасные боли
Невропатолог

Ужасные боли

Самая сильная боль в мире Все мы боимся боли. Будь то зубная боль, головная
Совет медика
Частые головные боли в лобной области в весках
Невропатолог

Частые головные боли в лобной области в весках

Причины головной боли в лобной части и висках и ее профилактика 1 Основные причины
Совет медика
Меня трясет, что со мной такое?
Невропатолог

Меня трясет, что со мной такое?

Внутренняя дрожь в теле и сердцебиение: что это такое? Основные причины, советы кардиолога Дрожь
Совет медика
Крапивница на нервной почве
Невропатолог

Крапивница на нервной почве

Крапивница на нервной почве: 7 фото, лечение, причины и симптомы Крапивница на фоне стресса
Совет медика
Чем лечить задний шейный симпатический синдром
Невропатолог

Чем лечить задний шейный симпатический синдром

Задний шейный симпатический синдром Задний шейный симпатический синдром ‒ это распространенная патология, которая вызывает
Совет медика
Чем опасны очаги повышенной интенсивности
Невропатолог

Чем опасны очаги повышенной интенсивности

Глиоз белого вещества головного мозга: единичные и множественные очаги, признаки и прогноз жизни Заболевания
Совет медика
Уже две недели болит голова
Невропатолог

Уже две недели болит голова

Неделю болит голова: причины, что это может быть Ноющая головная боль, пульсирующая, монотонная, иногда
Совет медика
Уже неделю постоянно кружится голова
Невропатолог

Уже неделю постоянно кружится голова

6 признаков того, что головокружение опасно для жизни Сразу скажем: в большинстве случаев головокружения
Совет медика
Навигация по записям
Назад 1 … 524 525 526 … 547 Далее
Популярное
Уже неделю постоянно кружится голова
Внутренняя дрожь
Невропатолог
Уже неделю постоянно кружится голова
Дистальный рефлюкс-эзофагит
Гастроэнтеролог
Уже неделю постоянно кружится голова
Выделения молока из груди. Не кормлю ребенка уже два года
Маммолог
Уже неделю постоянно кружится голова
Микроаденома гипофиза при беременности
Эндокринолог
Рубрики
  • Аллерголог (38)
  • Венеролог (85)
  • Гастроэнтеролог (212)
  • Гематолог (95)
  • Генетик (48)
  • Гинеколог (1 694)
  • Гомеопат (14)
  • Дерматолог (350)
  • Детский гинеколог (11)
  • Детский невролог (19)
  • Детский уролог (5)
  • Детский хирург (60)
  • Детский эндокринолог (11)
  • Диетолог (24)
  • Иммунолог (45)
  • Инфекционист (148)
  • Кардиолог (303)
  • Косметолог (31)
  • Логопед (4)
  • Лор (206)
  • Маммолог (115)
  • Медицинский юрист (4)
  • Нарколог (29)
  • Невропатолог (276)
  • Нейрохирург (17)
  • Нефролог (26)
  • Онколог (86)
  • Онкоуролог (6)
  • Ортопед-травматолог (105)
  • Офтальмолог (217)
  • Педиатр (180)
  • Пластический хирург (4)
  • Проктолог (27)
  • Психиатр (110)
  • Психолог (92)
  • Пульмонолог (69)
  • Ревматолог (6)
  • Рентгенолог (4)
  • Сексолог-Андролог (131)
  • Стоматолог (66)
  • Терапевт (125)
  • Уролог (80)
  • Фармацевт (12)
  • Фитотерапевт (4)
  • Флеболог (26)
  • Хирург (76)
  • Эндокринолог (171)
  • Правообладателям
© 2022 Совет медика