Тянущие боли при беременности: когда паниковать? В период вынашивания малыша беременная порой испытывает странные
Очень плохо в первый день месячных Слабость при месячных является следствием ряда физиологических и
Месячные после Визанны: когда должны начаться, отзывы Если пациентке гинеколог назначил Визанну, то она
Противозачаточные таблетки Джес Плюс Таблетки Джес Плюс – это комбинированный оральный контрацептив. Согласно клиническим
Контрацептивное средство Микрогинон Комбинированный эстроген — гестагенный препарат Микрогинон является контрацептивным средством, прием которого
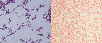
Микроскопия нативного мазка, окраска по Граму Метод Грама представляет собой метод окрашивания микроорганизмов для
Вагилак Вопреки распространённым мнениям, не только кишечная микрофлора страдает из-за приёма антибиотиков или же
Как перестать пукать — 7 эффективных советов, чтобы уменьшить метеоризм Источник фото: Shutterstock Вы
Какие бывают противовоспалительные вагинальные свечи в гинекологии? Присутствие воспалительного процесса наиболее частое основание для
Что такое мини-аборт, как его делают до какого срока делают мини-аборт — Клиника «Благое