Перейти к контенту
Совет медика

Совет медика

Советы по лечению

  • Гинеколог
  • Дерматолог
  • Невропатолог
  • Кардиолог
Элицея и феназипам, дозировка и побочки
Психиатр

Элицея и феназипам, дозировка и побочки

Побочные эффекты Феназепама Феназепам – лекарственное средство с бромдигидрохлорфенилбензодиазепином в составе. Обладает выраженным транквилизирующим,
Совет медика
Накопительство животных
Психиатр

Накопительство животных

Почему заводить много кошек — плохая идея или что такое патологическое накопительство животных :
Совет медика
Эпилепсия, постановка на учёт ПНД
Психиатр

Эпилепсия, постановка на учёт ПНД

Нам сказали: «Встаньте на учёт к психиатру…» | Милосердие.ru Когда Кириллу исполнилось шесть с
Совет медика
Эпилепсия, возможно ли снятие с учета
Психиатр

Эпилепсия, возможно ли снятие с учета

Как снять диагноз Мнения специалистов, советы и рекомендации по преодолению возможных проблем и условия
Совет медика
Эпилепсия и вождение
Психиатр

Эпилепсия и вождение

Водительские права (удостоверение) и эпилепсия В России, как и многих других государствах, водительские права
Совет медика
Узи признаки кист молочных желез
Маммолог

Узи признаки кист молочных желез

Атипичная киста молочной железы: что это такое, лечение, узи диагностика Женская грудь реагирует на
Совет медика
Чем опасно расширение протоков мж
Маммолог

Чем опасно расширение протоков мж

Расширение протоков молочной железы у женщины, его опасность Достаточно опасным состоянием для женщины любого
Совет медика
Частые лактостазы
Маммолог

Частые лактостазы

Что такое лактостаз? Почему происходит застой в молочной железе и как от него избавится?
Совет медика
Узи молочных желез, набухла грудь и болит
Маммолог

Узи молочных желез, набухла грудь и болит

Набухла и болит грудь: в чем причина и что делать Набухание груди и болевые
Совет медика
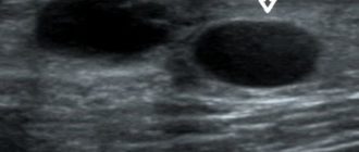
УЗИ картина м/железы. Кисты левой молочной железы
Маммолог

УЗИ картина м/железы. Кисты левой молочной железы

Ультразвуковое исследование при раке молочной железы (часть 2) » УЗИ для женщин » 2018
Совет медика
Навигация по записям
Назад 1 … 226 227 228 … 547 Далее
Популярное
УЗИ картина м/железы. Кисты левой молочной железы
Возможность заражения при осмотре у гинеколога
Венеролог
УЗИ картина м/железы. Кисты левой молочной железы
Месячные при положительном тесте
Гинеколог
УЗИ картина м/железы. Кисты левой молочной железы
Выпадение волос в области паха
Дерматолог
УЗИ картина м/железы. Кисты левой молочной железы
На кокой день вставить свечи после прижигания лейкоплакии
Гинеколог
Рубрики
  • Аллерголог (38)
  • Венеролог (85)
  • Гастроэнтеролог (212)
  • Гематолог (95)
  • Генетик (48)
  • Гинеколог (1 694)
  • Гомеопат (14)
  • Дерматолог (350)
  • Детский гинеколог (11)
  • Детский невролог (19)
  • Детский уролог (5)
  • Детский хирург (60)
  • Детский эндокринолог (11)
  • Диетолог (24)
  • Иммунолог (45)
  • Инфекционист (148)
  • Кардиолог (303)
  • Косметолог (31)
  • Логопед (4)
  • Лор (206)
  • Маммолог (115)
  • Медицинский юрист (4)
  • Нарколог (29)
  • Невропатолог (276)
  • Нейрохирург (17)
  • Нефролог (26)
  • Онколог (86)
  • Онкоуролог (6)
  • Ортопед-травматолог (105)
  • Офтальмолог (217)
  • Педиатр (180)
  • Пластический хирург (4)
  • Проктолог (27)
  • Психиатр (110)
  • Психолог (92)
  • Пульмонолог (69)
  • Ревматолог (6)
  • Рентгенолог (4)
  • Сексолог-Андролог (131)
  • Стоматолог (66)
  • Терапевт (125)
  • Уролог (80)
  • Фармацевт (12)
  • Фитотерапевт (4)
  • Флеболог (26)
  • Хирург (76)
  • Эндокринолог (171)
  • Правообладателям
© 2024 Совет медика