Месячные после секса и беременность

Какова вероятность забеременеть во время месячных: правда и мифы, мнение экспертов, методы предохранения и определения зачатия Если вы пытаетесь забеременеть или ищите способы избежать беременности, занимаясь сексом, главный…

Совет медика

Месячные после удаления импланона

Противозачаточный имплант: плюсы и минусы подкожного контрацептива Для предохранения от нежелательной беременности разработано множество методов контрацепции. Чаще всего для предохранения используют гормоны. Гормональные – самая большая и разнообразная…

Совет медика

Через неделю после месячных снова начались месячные

Месячные закончились и снова начались – почему опять критические дни Месячные закончились и снова начались – ситуация, которая заставляет волноваться. Каждая взрослая женщина знает, сколько должен длиться менструальный…

Совет медика

Через сколько дней можно не предохраняться после приема Ярина?

Беременность после противозачаточных таблеток — советы и рекомендации Организм женщины репродуктивного возраста функционирует таким образом, что беременность после противозачаточных таблеток наступает с повышенной вероятностью. Именно поэтому, многие медицинские…

Совет медика

Месячные после установки спирали

Первые месячные после установки спирали Как должно быть? Нормальный менструальный цикл и его характеристики Каждый месяц матка приготавливает для оплодотворенной яйцеклетки слой эндометрия, куда она прикрепится. Если зачатия…

Совет медика

Месячные после удаления плацентарного полипа

Первые месячные после удаления полипа эндометрия: объем и характер Месячные после удаления полипа эндометрия изменяются, причем иногда кардинально. Другим становиться объем выделений, длительность менструаций и самого цикла. Почему…

Совет медика

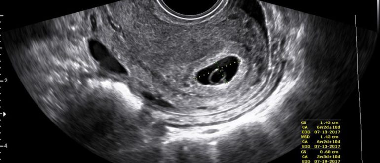
Узи на ранних сроках вред

Вредно ли УЗИ делать на ранних сроках беременности: реальность и домыслы Беременность сопряжена не только с радостью ожидания столь дорогого крохи. Пренатальный период каждой женщины таит в себе…

Совет медика

УЗИ, нашли кисту под вопросом

Можно ли перепутать кисту с беременностью: признаки кисты и беременности, причины неправильной диагностики — ГИНЕКОЛОГИЧЕСКАЯ БОЛЬНИЦА ОМСКОЙ ОБЛАСТИ Женские болезни становятся моложе. За последнее десятилетие случаи обнаружения кисты…

Совет медика

Узи не показывает беременность, задержка тест положительный

Тест положительный, а УЗИ беременности не показывает: что делать? тест положительный а узи беременность не показывает Первым анализом, который помогает определить наличие беременности, является исследование крови и мочи…

Совет медика

УЗИ не показало беременность

На УЗИ не увидели беременность. Так бывает? Очень волнительный момент – наступление ожидаемой беременности. Три дня задержки, две полоски на тесте, купленном в ближайшем супермаркете, и женщина уже…

Совет медика