Внематочная беременность. Причины, симптомы и лечение Внематочная беременность – серьезная преграда к долгожданному рождению малыша. Такое состояние несет опасность не только для женщины, но и может негативно сказаться…
Гинеколог
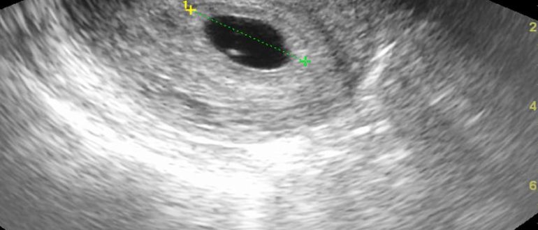
Внематочная беременность или маленький срок беременности?
Внематочная беременность: 4 первых признака и 7 главных причин, симптомы, как определить, лечение 04.02.201810.02.2018 Ольга Мигунова Внематочная беременность – аномальное состояние, которое несет серьезную угрозу жизни женщины. Место…
Может ли молочница повлиять на результат теста
Молочница как причина задержки месячных Кандидоз (молочница) – это хроническая антропонозная инфекция, которая вызывается грибками рода Candida. Среди инфекций женской половой системы частота случаев составляет 40–45 %. Вагинальный…
Может ли кровить эрозия
Что делать если кровит эрозия: причины кровотечения и характер выделений, первая помощь и основные принципы лечения, советы гинекологов Эрозия шейки матки – патология, опасная для женского здоровья и…
Может ли лопнуть фолликулярная киста, препараты для лечения
Фолликулярная киста яичника: лечение, симптомы, причины возникновения, месячные Фолликулярная киста яичника – опухоль, которая не имеет склонности к трансформации в злокачественное образование. Патологии подвержены половозрелые женщины. Чаще всего…
Может ли лечение вызвать задержку?
Задержка менструации – по каким причинам она может быть, когда это норма, а когда патология? В норме менструальный цикл длится от 21 до 35 дней. У каждой женщины…
Может ли мастурбация повлиять на появление первых месячных?
Существуют ли упражнения, вызывающие месячные? Расстройства менструального цикла составляют больше половины всех причин, по которым пациентки обращаются за консультацией к гинекологу. Помимо различных медикаментов для решения этой проблемы,…
Может ли малыш замёрзнуть в утробе?
Как распознать замершую беременность на позднем сроке? Все возможные причины и симптомы в одном месте Замершая беременность — трагедия, с которой, увы, сталкиваются многие женщины. И иногда такое…
Может ли появится зуд после геля для душа
Аллергическая реакция на гель для душа: симптомы и что делать На протяжении всей жизни, ежедневно, каждый человек в повседневном обиходе использует различные химические соединения, которые входят в состав…
Может ли не быть девственной плевы
Операция по восстановлению девственности Как только девственность потеряна, она никогда не может быть заменена – но современная медицина теперь предлагает женщинам почти идеальное физическое моделирование их утраченной невинности….