Что делать, если нарушено кровообращение между будущей матерью и ребенком — лечение и профилактические
Поможет ли Энтеросгель при беременности вывести токсины из организма? Выносить малыша ни разу не
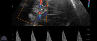
Нарушение маточно-плацентарного кровотока при беременности Беременные женщины и их родные обычно ожидают от УЗИ-обследования
Как влияет гормональный сбой на месячные Гормональный фон женщины напрямую влияет на менструацию. В
Уровень лейкоцитов в мазке у женщин при беременности В течение 9-месячного периода лейкоциты в
Что такое МППК при беременности. Степени нарушения МППК при беременности На УЗИ, как на
Жжение в яичниках у женщин, причины возникновения и возможные осложнения при этом симптоме Жжение
Чувствую как бьется сердце что это значит У пациента под влиянием различных факторов может
Причины, диагностика и лечение нарушений менструального цикла Практически нет женщины, которая бы никогда не
Кариопикнотический индекс (КПИ) Кариопикнотический индекс – кольпоцитологический показатель, отражающий процентное соотношение количества отслоившихся зрелых