Впч 51, 56 типа: как проявляется, опасность, методы лечения : 12 авг 2016, 17:41
Вирус папилломы человека(ВПЧ) 51 и 56 типа высокого онкогенного риска Вирус имеет множество генотипов,
Овуляция и зачатие — 10 малоизвестных фактов Довольно удивительно, что в наше время всеобщей
Дисплазия шейки матки: связь с вирусом папилломы человека Каждый день огромному количеству женщин ставят
Как помогает Достинекс при планировании беременности? Женский организм полон тайн и секретов. Природой задумано
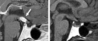
Что такое диффузно-неоднородная структура гипофиза и чем это опасно Гипофиз или питуитарная железа, играет
Впч 51 типа у женщин: что это, лечение, проявление у мужчин Словосочетание «вирус папилломы»
Как ВПЧ влияет на беременность? В период вынашивания ребенка у женщины часто происходят различные
Впч квант 15 — Лечение папиллом НАШИ ЧИТАТЕЛИ РЕКОМЕНДУЮТ! Для лечения папиллом наши читатели
Препарат Достинекс: какие отзывы при планировании беременности Женская природа устроена таким образом, что приходит