Перейти к контенту
Совет медика

Совет медика

Советы по лечению

  • Гинеколог
  • Дерматолог
  • Невропатолог
  • Кардиолог
Костно- хрящевой экзостоз
Ортопед-травматолог

Костно- хрящевой экзостоз

Экзостоз (костно-хрящевой экзостоз) Экзостоз — заболевание безболезненное, и может долго не проявляться никак. Костно-хрящевой экзостоз может на протяжении
Совет медика
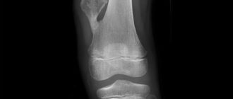
Краевой перелом надколенника, краевой перелом латерального мыщелка бедренной кости
Ортопед-травматолог

Краевой перелом надколенника, краевой перелом латерального мыщелка бедренной кости

Переломы в коленном суставе Переломы мыщелков бедра считаются достаточно тяжелыми переломами. В зависимости от
Совет медика
Узи тбс 2а
Ортопед-травматолог

Узи тбс 2а

Дисплазия тазобедренных суставов: тип 2а Рождение ребёнка – праздник для семьи. Тем печальнее становится
Совет медика
Косточки между пальцев
Ортопед-травматолог

Косточки между пальцев

Мозоль между пальцами ног: лечение или как избавиться от проблемы, что делать, если образование
Совет медика
Краевой перелом ладьевидной кости
Ортопед-травматолог

Краевой перелом ладьевидной кости

Перелом ладьевидной кости кисти — особенности и сроки лечения Ладьевидная кость (от лат. «scaphoideum»)
Совет медика
Чем можно распарить палец
Ортопед-травматолог

Чем можно распарить палец

Что делать, если глубоко порезал палец ножом Пальцы рук – та часть тела, которая
Совет медика
Через сколько можно снять гипс
Ортопед-травматолог

Через сколько можно снять гипс

Можно ли снять гипс через 3 недели ​мне вобще по-зверски гипс снимали. не предупредили
Совет медика
Узи тбс 3 мес
Ортопед-травматолог

Узи тбс 3 мес

Узи тазобедренных суставов у грудничков при дисплазии Особенности строения тазобедренных суставов у детей Тазобедренный
Совет медика
Узи ТБС - отсутствие ядер окостенения
Ортопед-травматолог

Узи ТБС — отсутствие ядер окостенения

Окостенение ядер тазобедренных суставов В норме окостенение тазобедренных суставов (ТБС) завершается у человека в
Совет медика
Через какое время нужно колоть виски?
Ортопед-травматолог

Через какое время нужно колоть виски?

Болят и давят виски: главные причины и что делать? Многие люди жалуются на боль
Совет медика
Навигация по записям
Назад 1 … 192 193 194 … 547 Далее
Популярное
Через какое время нужно колоть виски?
Может ли мужчина, не вступающий раньше в отношения влюбиться?
Психолог
Через какое время нужно колоть виски?
УЗИ сердца плода
Кардиолог
Через какое время нужно колоть виски?
Во время секса порвался презерватив
Гинеколог
Через какое время нужно колоть виски?
Через 7 дней после месячных снова пошли месячные
Гинеколог
Рубрики
  • Аллерголог (38)
  • Венеролог (85)
  • Гастроэнтеролог (212)
  • Гематолог (95)
  • Генетик (48)
  • Гинеколог (1 694)
  • Гомеопат (14)
  • Дерматолог (350)
  • Детский гинеколог (11)
  • Детский невролог (19)
  • Детский уролог (5)
  • Детский хирург (60)
  • Детский эндокринолог (11)
  • Диетолог (24)
  • Иммунолог (45)
  • Инфекционист (148)
  • Кардиолог (303)
  • Косметолог (31)
  • Логопед (4)
  • Лор (206)
  • Маммолог (115)
  • Медицинский юрист (4)
  • Нарколог (29)
  • Невропатолог (276)
  • Нейрохирург (17)
  • Нефролог (26)
  • Онколог (86)
  • Онкоуролог (6)
  • Ортопед-травматолог (105)
  • Офтальмолог (217)
  • Педиатр (180)
  • Пластический хирург (4)
  • Проктолог (27)
  • Психиатр (110)
  • Психолог (92)
  • Пульмонолог (69)
  • Ревматолог (6)
  • Рентгенолог (4)
  • Сексолог-Андролог (131)
  • Стоматолог (66)
  • Терапевт (125)
  • Уролог (80)
  • Фармацевт (12)
  • Фитотерапевт (4)
  • Флеболог (26)
  • Хирург (76)
  • Эндокринолог (171)
  • Правообладателям
© 2023 Совет медика