Может ли быть молочница после кунилингуса Как известно, возбудителем кандидоза являются грибки рода Candida,
Как принимать противозачаточные таблетки, чтобы не забеременеть? Начинать пить противозачаточные таблетки может любая девушка
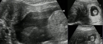
Размер миомы матки в неделях Миома матки представляет собой опухоль доброкачественного характера, появляющаяся в
6 стойких мифов об оральных ласках, которые пришло время развенчать Несмотря на целую череду
Резектоскопия миомы матки Содержимое 1 Применение методов в современной гинекологии 2 Проведение Миома матки
Я не знаю, как жить эту жизнь: 10 советов психолога Здравствуйте! Если вы однажды
15 странностей турецкого быта, к которым невозможно привыкнуть Мы привыкли считать, что Турция — это страна-курорт
Выделения после вакуум-аспирации или аборта: какими они должны быть, нормально ли, если их нет?
Аспирационная биопсия эндометрия: как проводится, подготовка, больно или нет, последствия Аспирационная биопсия эндометрия, или
Как протекает беременность при миоме? Миома матки представляет собой одну из самых распространенных разновидностей